7 Tests de Laboratoire Clés pour le Diagnostic de la Leucémie Lymphoblastique Aiguë
-
Comprendre la Leucémie Lymphoblastique Aiguë
-
Le Processus de Diagnostic de la Leucémie Lymphoblastique Aiguë
-
Numération Formule Sanguine Complète (CBC)
-
Examen du Frottis Sanguin Périphérique
-
Aspiration et Biopsie de Moelle Osseuse
-
Immunophénotypage par Cytométrie en Flux
-
Analyses Cytogénétiques et Moléculaires
-
Tests Biochimiques et Évaluation des Organes
-
Conclusion: L'Intégration des Résultats de Laboratoire dans la Prise en Charge de la LLA
-
FAQ

La leucémie lymphoblastique aiguë (LLA) est un cancer fréquent chez les enfants. Il y a environ 6500 nouveaux cas chaque année aux États-Unis. Un diagnostic rapide est essentiel pour guérir.
Chez Liv Hospital, nous suivons les dernières découvertes médicales. Nous voulons offrir les meilleurs soins possibles. Nos patients reçoivent donc des tests de laboratoire complets, alliant l'ancien et le nouveau.
Les tests de laboratoire sont cruciaux pour diagnostiquer la LLA. Dans cet article, nous allons voir les 7 tests clés pour un diagnostic fiable.
Points Clés à Retenir
● La LLA est un cancer pédiatrique courant qui nécessite un diagnostic précoce.
● Les tests de laboratoire sont essentiels pour un diagnostic précis.
● Chez Liv Hospital, nous utilisons des techniques de laboratoire avancées.
● Un diagnostic précoce améliore les résultats du traitement.
● Les tests de laboratoire clés aident à identifier la LLA.
Comprendre la Leucémie Lymphoblastique Aiguë

La leucémie lymphoblastique aiguë (LLA) est une maladie grave du sang. Elle nécessite une compréhension approfondie pour un bon diagnostic et traitement. Cette maladie se caractérise par la prolifération anarchique de lymphoblastes dans la moelle osseuse.
Définition et épidémiologie
La LLA est une prolifération maligne de cellules lymphoïdes immatures. Elle se trouve dans la moelle osseuse, le sang périphérique et parfois d'autres organes. Elle est la forme la plus courante de leucémie chez les enfants, représentant environ 80% des cas de leucémie pédiatrique.
La LLA a une incidence maximale entre 2 et 5 ans, avec une légère prédominance masculine. Chez les adultes, la LLA est moins fréquente mais présente des défis thérapeutiques plus importants en raison de la fréquence accrue des anomalies cytogénétiques défavorables.
| Groupe d'âge | Incidence de la LLA |
| 0-4 ans | 4-5 cas par 100 000 |
| 5-9 ans | 2-3 cas par 100 000 |
| Adultes | 1-2 cas par 100 000 |
Pathophysiologie et impact clinique
La pathophysiologie de la LLA implique la transformation maligne de cellules lymphoïdes progénitrices dans la moelle osseuse. Cette transformation entraîne une prolifération incontrôlée de lymphoblastes qui interfèrent avec la production normale des cellules sanguines.
Cliniquement, la LLA se manifeste souvent par des symptômes tels que la fatigue, les infections récurrentes, les saignements anormaux et la douleur osseuse. L'impact clinique est significatif, nécessitant une prise en charge rapide et efficace pour prévenir les complications graves.
Populations à risque
Certaines populations sont considérées à risque élevé de développer une LLA. Les enfants ayant des antécédents familiaux de leucémie ou exposés à des radiations ionisantes à fortes doses sont plus susceptibles de développer la maladie.
De plus, certaines conditions génétiques telles que le syndrome de Down augmentent le risque de LLA. La compréhension de ces facteurs de risque est essentielle pour la prévention et la détection précoce de la maladie.
Le Processus de Diagnostic de la Leucémie Lymphoblastique Aiguë

Diagnostiquer la leucémie lymphoblastique aiguë (LLA) est complexe. Il faut une approche de plusieurs spécialités. Nous allons voir les étapes du diagnostic, des premiers signes aux tests nécessaires.
Signes et symptômes initiaux
Les premiers signes de la LLA sont souvent vagues. Ils peuvent inclure fatigue, perte de poids, et infections fréquentes. Il est crucial de les détecter tôt pour mieux agir.
Les symptômes varient selon l'âge. Les enfants peuvent avoir pâleur, irritabilité, et saignements. Les adultes peuvent se plaindre de fièvre, fatigue, et infections.
Importance du diagnostic précoce
Un diagnostic rapide est crucial pour traiter la LLA. Plus tôt on le découvre, mieux c'est pour le traitement. Un diagnostic tardif peut rendre le traitement plus difficile.
Le diagnostic précoce diminue les risques de complications. Cela inclut moins d'anémie, d'infections sévères, et de hémorragies. Il est donc important de rester vigilant face aux symptômes.
Approche diagnostique multidisciplinaire
Diagnostiquer la LLA demande l'effort de plusieurs spécialités. Hématologues, oncologues, radiologues, et pathologistes travaillent ensemble. Ils analysent les résultats des tests pour confirmer le diagnostic.
| Test Diagnostique | Description | Objectif |
| Numération Formule Sanguine Complète (CBC) | Analyse des composants sanguins | Identifier les anomalies sanguines |
| Examen du Frottis Sanguin Périphérique | Examen microscopique des cellules sanguines | Détecter les cellules anormales |
| Aspiration et Biopsie de Moelle Osseuse | Prélèvement de moelle osseuse pour analyse | Confirmer le diagnostic de LLA |
Nous combinons ces tests pour un diagnostic précis. Cela aide à créer un plan de traitement adapté à chaque patient. Les résultats de ces tests sont essentiels pour choisir la meilleure approche.
Numération Formule Sanguine Complète (CBC)
La numération formule sanguine complète (CBC) est essentielle pour diagnostiquer la leucémie lymphoblastique aiguë (LLA). Si un patient montre des signes de leucémie, la CBC est souvent le premier test. Cela aide à vérifier l'état du sang.
La CBC donne des infos clés sur le sang. Elle regarde les globules rouges, blancs et plaquettes. Pour la LLA, des changements dans la CBC peuvent montrer la maladie.
Anomalies courantes dans la NFS
Les patients avec LLA ont souvent des changements dans leur CBC. Ces changements peuvent être :
● Une anémie, avec moins de globules rouges.
● Une thrombocytopénie, avec moins de plaquettes.
● Une leucopénie ou une leucocytose, selon la gravité de la maladie.
● Des blastes leucémiques dans le sang.
Ces changements doivent être examinés avec soin. Ils doivent être comparés à d'autres tests diagnostiques.
Interprétation des résultats anormaux
Interpréter la CBC demande de regarder le tableau clinique du patient. Les changements peuvent suggérer la LLA. Mais, d'autres maladies peuvent aussi causer des résultats similaires.
Il faut tenir compte de plusieurs éléments :
● La numération absolue des neutrophiles.
● La présence et le pourcentage de blastes.
● L'impact sur les autres lignées cellulaires sanguines.
Valeur prédictive de la NFS
La CBC est très utile pour diagnostiquer la LLA. Les résultats anormaux peuvent demander d'autres tests. Par exemple, l'examen du frottis sanguin périphérique et la biopsie de moelle osseuse.
Voici un tableau des anomalies courantes dans la CBC des patients atteints de LLA :
| Paramètre | Valeur normale | Valeur dans la LLA |
| Globules blancs | 4 000 - 10 000/µL | Élevés ou abaissés |
| Globules rouges | 4,32 - 5,72 millions/µL | Diminués (anémie) |
| Blastes | 0% | Présents |
| Plaquettes | 150 000 - 450 000/µL | Diminuées (thrombocytopénie) |
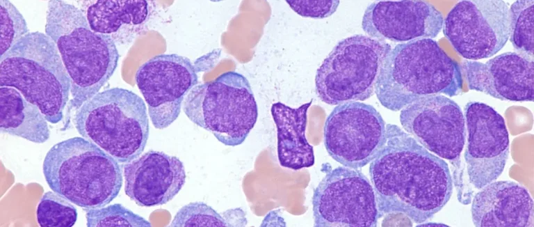
Examen du Frottis Sanguin Périphérique
L'analyse du frottis sanguin périphérique est cruciale pour identifier la leucémie lymphoblastique aiguë. Elle aide les médecins à repérer les anomalies cellulaires liées à la maladie.
Identification morphologique des blastes leucémiques
Le frottis sanguin périphérique aide à trouver les blastes leucémiques. Ces cellules anormales sont typiques de la leucémie lymphoblastique aiguë. Elles ont souvent un noyau gros et une chromatine fine.
Nous examinons les blastes avec soin pour les distinguer des autres cellules anormales. C'est essentiel pour diagnostiquer et suivre la maladie.
Caractéristiques cytologiques distinctives
Les blastes leucémiques ont des traits uniques. Ils peuvent avoir des granules azurophiles ou des corps de Auer. Ces caractéristiques aident à les identifier.
Le frottis sanguin périphérique révèle aussi d'autres anomalies. Par exemple, des changements dans la taille et la forme des cellules sanguines.
Corrélation avec d'autres tests diagnostiques
Nous comparons les résultats du frottis sanguin périphérique avec d'autres tests. Cela inclut la numération formule sanguine complète (CBC) et l'immunophénotypage par cytométrie en flux. Cette approche complète aide à mieux comprendre la maladie.
Nous utilisons toutes ces informations pour faire un diagnostic précis. Ainsi, nous pouvons planifier un traitement adapté pour les patients atteints de leucémie lymphoblastique aiguë.
Aspiration et Biopsie de Moelle Osseuse
Pour diagnostiquer la leucémie lymphoblastique aiguë, l'aspiration et la biopsie de moelle osseuse sont cruciales. Ces méthodes permettent aux médecins d'examiner directement les cellules de la moelle. Cela aide à confirmer le diagnostic.
Technique et sites de prélèvement
Les procédures se font sous anesthésie locale. Une aiguille est introduite dans la crête iliaque postérieure pour prélever un échantillon. L'aspiration donne des cellules de la moelle, tandis que la biopsie donne du tissu osseux.
Le site de prélèvement varie selon l'âge du patient et ses conditions. Les médecins prennent des mesures pour réduire le confort et les risques.
Évaluation cytologique et histologique
Les échantillons sont analysés en laboratoire. L'évaluation cytologique examine la forme des cellules. L'évaluation histologique regarde la structure tissulaire.
Ces analyses sont essentielles pour identifier les cellules leucémiques. Elles aident à comprendre leur impact sur la moelle. Les résultats permettent de diagnostiquer précisément et de planifier le traitement.
Critères diagnostiques définitifs
Pour confirmer la leucémie lymphoblastique aiguë, les médecins cherchent des cellules blastiques dans la moelle. Plus de 20% de blastes est un critère clé.
Des caractéristiques cytologiques et histologiques supplémentaires sont aussi examinées. Ces informations sont cruciales pour déterminer le type de leucémie. Elles aident à établir un plan de traitement efficace.
Immunophénotypage par Cytométrie en Flux
L'immunophénotypage par cytométrie en flux est très important pour diagnostiquer la leucémie lymphoblastique aiguë. Cette technique aide à analyser les marqueurs des cellules leucémiques. Cela permet de mieux les classer et les caractériser.
Principes et Méthodologie
La cytométrie en flux analyse les cellules en suspension dans un liquide. Les cellules sont marquées avec des anticorps et des fluorochromes. Cela permet de les identifier et de les compter.
Nous utilisons cette technique sur les cellules de la moelle osseuse ou du sang. Le processus comprend plusieurs étapes importantes :
● Préparation des échantillons
● Marquage des cellules avec des anticorps spécifiques
● Analyse par cytométrie en flux
● Interprétation des données
Marqueurs Immunologiques Spécifiques
Les marqueurs immunologiques sont essentiels pour identifier les cellules leucémiques. Les marqueurs couramment utilisés sont :
| Marqueur | Signification |
| CD19 | Marqueur des cellules B |
| CD10 | Marqueur associé aux cellules B pré-B |
| CD7 | Marqueur des cellules T |
Ces marqueurs aident à classer les cellules leucémiques. Cela guide le traitement.
Classification des Sous-types de LLA
L'immunophénotypage permet de classer la LLA en sous-types. Cette classification est cruciale pour déterminer le traitement. Les principaux sous-types sont la LLA à cellules B et la LLA à cellules T.
En conclusion, l'immunophénotypage par cytométrie en flux est essentiel dans le diagnostic de la leucémie lymphoblastique aiguë. Les résultats sont vitaux pour les "labs pour leucémie" et les "acute lymphoblastic leukemia labs" partout dans le monde.
Analyses Cytogénétiques et Moléculaires
Les tests cytogénétiques et moléculaires sont clés pour trouver les anomalies génétiques de la leucémie lymphoblastique aiguë (LLA). Ils aident à comprendre les changements génétiques qui affectent le pronostic et le traitement.
Caryotype et FISH
Le caryotype et la FISH sont des méthodes pour voir les anomalies chromosomiques dans les cellules leucémiques. Le caryotype examine tous les chromosomes d'une cellule. La FISH utilise des sondes pour trouver des altérations génétiques spécifiques.
En utilisant ces méthodes, on peut trouver des translocations chromosomiques liées à la LLA. Par exemple, la translocation (12;21) crée le gène TEL-AML1. Ces changements influencent beaucoup le pronostic et le traitement.
Tests moléculaires avancés
Les tests moléculaires avancés, comme la PCR et le séquençage de nouvelle génération (NGS), analysent en profondeur les altérations génétiques. Ils sont essentiels pour trouver des mutations spécifiques qui peuvent changer la réponse au traitement.
Anomalies génétiques récurrentes
Certaines anomalies génétiques sont souvent vues dans la LLA. Voici quelques-unes et leur importance clinique :
| Anomalie génétique | Fréquence | Impact pronostique |
| Translocation (12;21) | 25% | Favorable |
| Translocation (9;22) | 5% | Défavorable |
| Hyperdiploïdie | 30% | Favorable |
Ces analyses sont essentielles pour un diagnostic précis de la LLA. Elles aident à personnaliser le traitement selon les caractéristiques génétiques de chaque patient.
Tests Biochimiques et Évaluation des Organes
Les tests biochimiques sont essentiels pour diagnostiquer et gérer la leucémie lymphoblastique aiguë. Ils permettent d'identifier les problèmes métaboliques et les dysfonctionnements organiques liés à la LLA.
Profil biochimique complet
Un profil biochimique complet est crucial pour évaluer l'état d'un patient. Il détecte les anomalies métaboliques. Ce profil inclut des tests pour la fonction hépatique, la fonction rénale, et les électrolytes.
Les anomalies dans ces tests peuvent montrer une atteinte organique due à la LLA ou à la chimiothérapie. Par exemple, une augmentation des enzymes hépatiques peut indiquer une infiltration leucémique du foie ou une toxicité hépatique.
Marqueurs de lyse tumorale
Les marqueurs de lyse tumorale sont des indicateurs clés de la destruction des cellules leucémiques. Pendant la chimiothérapie, la lyse tumorale peut libérer de grandes quantités de potassium, de phosphate, et d'acide urique. Cela peut causer des complications graves.
Il est essentiel de surveiller de près ces marqueurs pour prévenir et gérer le syndrome de lyse tumorale. Cette complication peut être mortelle.
Évaluation de l'atteinte d'organes
L'évaluation de l'atteinte d'organes est cruciale dans le traitement de la LLA. Les tests biochimiques évaluent la fonction des organes vitaux comme le foie, les reins, et le cœur.
Ces informations sont essentielles pour ajuster le traitement et réduire les effets secondaires. Par exemple, si les tests montrent une insuffisance rénale, des ajustements posologiques peuvent être nécessaires pour éviter une toxicité supplémentaire.
Conclusion: L'Intégration des Résultats de Laboratoire dans la Prise en Charge de la LLA
Le diagnostic de la Leucémie Lymphoblastique Aiguë (LLA) nécessite une approche complète. Cela inclut plusieurs tests de laboratoire. Parmi eux, la Numération Formule Sanguine Complète (CBC) et l'Examen du Frottis Sanguin Périphérique sont cruciaux.
L'Aspiration et Biopsie de Moelle Osseuse, l'Immunophénotypage par Cytométrie en Flux, et les Analyses Cytogénétiques et Moléculaires sont aussi essentiels. Les Tests Biochimiques jouent un rôle important dans le diagnostic.
Intégrer ces résultats dans la prise en charge de la LLA est vital. Cela aide à diagnostiquer l'acute lymphoblastic leukemia diagnosis avec précision. Ainsi, un plan de traitement efficace peut être élaboré.
Une bonne all diagnosis permet aux médecins de choisir des traitements ciblés. Cela améliore les résultats pour les patients.
En conclusion, pour bien gérer la LLA, il faut une collaboration étroite. Les professionnels de santé et les laboratoires doivent travailler ensemble. Ainsi, les résultats des tests contribuent à un diagnostic précis et à un traitement adapté.
FAQ
Quels sont les tests de laboratoire utilisés pour diagnostiquer la leucémie lymphoblastique aiguë ?
Pour diagnostiquer la leucémie lymphoblastique aiguë, plusieurs tests sont utilisés. On fait une numération formule sanguine complète (CBC). On examine aussi le frottis sanguin périphérique et on prend des échantillons de moelle osseuse.
On utilise l'immunophénotypage par cytométrie en flux et des analyses cytogénétiques et moléculaires. Les tests biochimiques sont également cruciaux.
Qu'est-ce qu'une numération formule sanguine complète (CBC) et comment est-elle utilisée dans le diagnostic de la leucémie lymphoblastique aiguë ?
La CBC évalue les différents composants du sang. Elle regarde les globules rouges, les globules blancs et les plaquettes. Pour la leucémie lymphoblastique aiguë, la CBC peut montrer des anomalies.Ces anomalies peuvent inclure l'anémie, la thrombocytopénie et la leucopénie ou la leucocytose. Elles peuvent indiquer la présence de la maladie.
Comment l'examen du frottis sanguin périphérique contribue-t-il au diagnostic de la leucémie lymphoblastique aiguë ?
L'examen du frottis sanguin périphérique aide à identifier les blastes leucémiques. Il évalue aussi leur morphologie. Cela peut suggérer la présence de leucémie lymphoblastique aiguë.Cela guide ensuite les investigations diagnostiques ultérieures.
Quelle est l'importance de l'aspiration et de la biopsie de moelle osseuse dans le diagnostic de la leucémie lymphoblastique aiguë ?
L'aspiration et la biopsie de moelle osseuse sont essentielles pour diagnostiquer la leucémie lymphoblastique aiguë. Elles permettent d'évaluer la présence de blastes leucémiques dans la moelle osseuse.Elles déterminent aussi le pourcentage de cellules leucémiques.
Qu'est-ce que l'immunophénotypage par cytométrie en flux et comment est-il utilisé dans le diagnostic de la leucémie lymphoblastique aiguë ?
L'immunophénotypage par cytométrie en flux identifie les marqueurs immunologiques des cellules leucémiques. Cela aide à classer les sous-types de leucémie lymphoblastique aiguë. Cela guide aussi le traitement.
Quels sont les tests biochimiques utilisés dans le diagnostic et la prise en charge de la leucémie lymphoblastique aiguë ?
Les tests biochimiques évaluent la fonction hépatique et rénale. Ils mesurent aussi des marqueurs de lyse tumorale comme l'acide urique, le potassium et le phosphate. Ces tests aident à évaluer l'atteinte d'organes et à gérer les complications métaboliques.
Comment les résultats des tests de laboratoire sont-ils intégrés dans la prise en charge de la leucémie lymphoblastique aiguë ?
Les résultats des tests de laboratoire sont essentiels pour la prise en charge de la leucémie lymphoblastique aiguë. Ils fournissent des informations cruciales pour le diagnostic, la classification et le suivi de la maladie. Ils guident aussi le traitement et évaluent la réponse au traitement.
Qu'est-ce que le diagnostic de la leucémie lymphoblastique aiguë implique ?
Le diagnostic de la leucémie lymphoblastique aiguë implique une approche multidisciplinaire. Il combine les résultats des tests de laboratoire, les signes et symptômes cliniques, ainsi que les résultats des examens d'imagerie. Cela permet de confirmer le diagnostic et de déterminer le sous-type de la maladie.
Quels sont les signes et symptômes initiaux de la leucémie lymphoblastique aiguë ?
Les signes et symptômes initiaux de la leucémie lymphoblastique aiguë incluent la fatigue et la fièvre. On peut aussi voir des infections récurrentes, des saignements ou des ecchymoses faciles. Les douleurs osseuses ou articulaires sont également possibles.
* Le contenu de notre site web est uniquement destiné à des fins d'information. Veuillez consulter votre médecin pour obtenir un diagnostic et un traitement. Le contenu de la page ne contient pas d'informations sur les services de santé thérapeutiques de l'hôpital Liv. .