Qu'est-ce que le Carcinome Corticosurrénalien (Adrenal Adenocarcinoma) et Comment Est-il Traité?
-
Comprendre le Carcinome Corticosurrénalien
-
Épidémiologie et Statistiques du Carcinome Corticosurrénalien
-
L'Adrenal Adenocarcinoma: Causes et Facteurs de Risque
-
Symptômes et Manifestations Cliniques
-
Méthodes de Diagnostic du Carcinome Corticosurrénalien
-
Classification et Stadification de la Maladie
-
Options de Traitement pour le Carcinome Corticosurrénalien
-
Gestion des Complications et Soins de Suivi
-
Conclusion: Avancées et Perspectives dans la Recherche sur le Carcinome Corticosurrénalien
-
FAQ
Le carcinome corticosurrénalien est une tumeur maligne rare. Elle se développe dans la glande surrénale. Cette maladie se caractérise par des cellules cancéreuses dans la couche externe de la glande.
Environ 300 nouveaux cas sont diagnostiqués chaque année aux États-Unis. Cette maladie est rare mais importante à connaître. Comprendre les symptômes, le diagnostic et les traitements est crucial pour la gestion de cette maladie.
Nous allons explorer les aspects de cette maladie. Cela aidera patients et professionnels de la santé. Le traitement du carcinome corticosurrénalien demande une approche multidisciplinaire. Les traitements doivent être basés sur des preuves solides.
Points Clés à Retenir
● Le carcinome corticosurrénalien est une tumeur maligne rare et agressive.
● Il se forme dans la glande surrénale, spécifiquement dans la couche externe.
● La maladie est diagnostiquée chez environ 300 personnes chaque année aux États-Unis.
● Le traitement nécessite une approche multidisciplinaire.
● Les protocoles de traitement sont fondés sur des preuves pour une prise en charge efficace.
Comprendre le Carcinome Corticosurrénalien

Pour comprendre le carcinome corticosurrénalien, il faut connaître les glandes surrénales. Ces glandes sont petites et triangulaires, situées au-dessus des reins. Elles sont essentielles pour notre santé, car elles produisent des hormones clés.
Définition et anatomie des glandes surrénales
Les glandes surrénales ont deux parties : la médullosurrénale et le cortex surrénalien. Le cortex produit le cortisol et l'aldostérone. Ces hormones aident à gérer le stress et l'équilibre de l'eau et des sels.
Le cortex est aussi responsable de la production d'hormones stéroïdes. Ces hormones influencent les caractéristiques sexuelles. Ainsi, toute modification dans les glandes surrénales peut affecter notre santé.
Différence entre tumeurs bénignes et malignes
Les tumeurs sur les glandes surrénales peuvent être bénignes ou malignes. Les tumeurs bénignes, comme les adénomes, ne sont généralement pas cancéreuses. Mais elles peuvent causer des déséquilibres hormonaux.
Les tumeurs malignes, comme le carcinome corticosurrénalien, sont cancéreuses. Elles peuvent se propager à d'autres organes. Le carcinome corticosurrénalien est un cancer rare du cortex surrénalien.
Caractéristiques clés des tumeurs malignes :
● Capacité à envahir les tissus environnants
● Potentiel de métastase à distance
● Déséquilibres hormonaux significatifs
Il est essentiel de diagnostiquer et de traiter ces tumeurs correctement. Cela aide à éviter des complications graves et améliore les chances de guérison.
Épidémiologie et Statistiques du Carcinome Corticosurrénalien

Comprendre le carcinome corticosurrénalien est essentiel. Nous allons voir les chiffres sur son incidence, sa prévalence et sa répartition par âge et sexe.
Incidence et Prévalence aux États-Unis
Le carcinome corticosurrénalien est peu fréquent. Il touche entre 0,7 et 2,0 personnes par million d'habitants aux États-Unis chaque année. Cela signifie environ 300 nouveaux cas chaque année.
Incidence Annuelle: 0,7 à 2,0 cas par million d'habitants
Nombre de Cas Annuels: Environ 300 personnes diagnostiquées
| Catégorie | Données |
| Incidence Annuelle (par million) | 0,7 - 2,0 |
| Nombre de Cas Annuels | Environ 300 |
Distribution Démographique (Âge et Sexe)
La maladie varie selon l'âge et le sexe. Les femmes sont plus souvent touchées que les hommes.
Les données épidémiologiques sont importantes. Elles aident à mieux planifier les soins de santé et à améliorer le traitement des patients.
L'Adrenal Adenocarcinoma: Causes et Facteurs de Risque
Il est important de comprendre les causes et les facteurs de risque de l'adrenal adenocarcinoma. Cette tumeur maligne des glandes surrénales est influencée par plusieurs facteurs. Les facteurs génétiques et héréditaires jouent un rôle clé.
Facteurs génétiques et mutations identifiées
Les facteurs génétiques ont un impact majeur sur le développement de l'adrenal adenocarcinoma. Des mutations dans certains gènes peuvent augmenter le risque de cette maladie. Par exemple, des mutations dans le gène TP53 sont liées à un risque plus élevé.
Une étude a montré que les mutations dans le gène TP53 touchent environ 50% des patients atteints de carcinome corticosurrénalien.
"Les altérations génétiques, telles que les mutations dans TP53, sont cruciales pour comprendre la pathogenèse de l'adrenal adenocarcinoma."
Medical Expert, Oncologue
Syndromes héréditaires associés
Certains syndromes héréditaires augmentent le risque de développer l'adrenal adenocarcinoma. Le syndrome de Li-Fraumeni, le syndrome de Beckwith-Wiedemann, et le complexe de Carney sont des exemples.
| Syndrome Héréditaire | Description | Risque Associé |
| Li-Fraumeni | Syndrome génétique caractérisé par des mutations dans le gène TP53 | Risque élevé de divers cancers, y compris l'adrenal adenocarcinoma |
| Beckwith-Wiedemann | Trouble de croissance caractérisé par une macrosomie et des anomalies développementales | Risque accru de tumeurs embryonnaires, y compris l'adrenal adenocarcinoma |
| Complexe de Carney | Syndrome rare caractérisé par des tumeurs multiples, y compris des tumeurs endocrines | Risque accru de tumeurs surrénaliennes |
Autres facteurs de risque potentiels
Il existe d'autres facteurs qui pourraient influencer le risque de développer l'adrenal adenocarcinoma. Des recherches sont en cours pour explorer ces facteurs.
En résumé, comprendre les causes et les facteurs de risque de l'adrenal adenocarcinoma est crucial. Les recherches continuent d'éclairer les mécanismes sous-jacents à cette maladie complexe.
Symptômes et Manifestations Cliniques
Il est crucial de connaître les symptômes du carcinome corticosurrénalien pour un diagnostic et un traitement précoces. Cette forme rare de cancer peut se manifester de diverses manières. Cela rend son diagnostic parfois difficile.
Syndromes hormonaux
Les tumeurs fonctionnelles du carcinome corticosurrénalien peuvent produire des hormones en excès. Cela entraîne divers syndromes hormonaux. Le syndrome de Cushing est l'un des plus courants, causé par une production excessive de cortisol.
Les patients peuvent avoir des symptômes tels que:
● gain de poids
● faiblesse musculaire
● modifications de la peau et des cheveux
L'hyperaldostéronisme est un autre syndrome hormonal associé. Il est caractérisé par une production excessive d'aldostérone. Cela cause des déséquilibres électrolytiques et une hypertension.
Symptômes liés à la croissance tumorale
Les symptômes du carcinome corticosurrénalien peuvent aussi être liés à la croissance de la tumeur. Les patients peuvent ressentir des douleurs abdominales. Ils peuvent aussi détecter une masse abdominale.
Différences de présentation chez les enfants et les adultes
Les manifestations cliniques du carcinome corticosurrénalien varient entre les enfants et les adultes. Chez les enfants, les symptômes hormonaux sont plus fréquents. Chez les adultes, la découverte d'une masse abdominale est souvent le premier signe.
En résumé, reconnaître les symptômes et manifestations cliniques du carcinome corticosurrénalien est essentiel. Cela permet un diagnostic précoce et une prise en charge appropriée. Il est important de surveiller de près les patients présentant des symptômes suspects.
Méthodes de Diagnostic du Carcinome Corticosurrénalien
Diagnostiquer le carcinome corticosurrénalien demande une approche complète. On utilise des examens cliniques, des tests de laboratoire et des études d'imagerie. Ces méthodes aident à comprendre cette maladie rare.
Examens cliniques et antécédents médicaux
Les médecins examinent les symptômes et les antécédents médicaux pour trouver des signes. Ils cherchent des signes de dysfonctionnement hormonal. Par exemple, le syndrome de Cushing ou l'hyperaldostéronisme.
Tests sanguins et hormonaux
Les tests sanguins et hormonaux sont cruciaux. Ils mesurent les niveaux d'hormones comme le cortisol et l'aldostérone. Des niveaux anormaux peuvent montrer une tumeur surrénalienne.
Techniques d'imagerie médicale
Des techniques comme la TDM, l'IRM et la TEP sont utilisées. Elles localisent et caractérisent la tumeur. Ces examens montrent la taille et l'extension de la tumeur.
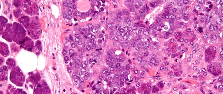
Biopsie et analyse pathologique
La biopsie et l'analyse pathologique confirment le diagnostic. Elles examinent la tumeur pour savoir si elle est bénigne ou maligne. Elles identifient aussi le type de cellules impliqué.
| Méthode de Diagnostic | Description | Objectif |
| Examens cliniques | Évaluation des symptômes et antécédents médicaux | Identifier les signes de dysfonctionnement hormonal |
| Tests sanguins et hormonaux | Mesure des niveaux d'hormones | Détecter des niveaux anormaux d'hormones |
| Imagerie médicale (TDM, IRM, TEP) | Localisation et caractérisation de la tumeur | Évaluer la taille et l'extension de la tumeur |
| Biopsie et analyse pathologique | Examen histopathologique de la tumeur | Confirmer le diagnostic et identifier le type de cellules |
En utilisant ces méthodes, les médecins peuvent diagnostiquer précisément. Ils peuvent alors planifier un traitement adapté pour les patients.
Classification et Stadification de la Maladie
La classification et la stadification du carcinome corticosurrénalien sont essentielles. Elles déterminent le traitement et le pronostic. Ces étapes aident les médecins à planifier un traitement adapté à chaque patient.
Système de stadification TNM
Le système TNM est souvent utilisé pour classer le carcinome corticosurrénalien. Il considère la taille de la tumeur, l'atteinte des ganglions lymphatiques et la présence de métastases. Les stades vont de I à IV, montrant la progression de la maladie.
| Stade | Description TNM |
| I | T1, N0, M0 |
| II | T2, N0, M0 |
| III | T3 ou N1, M0 |
| IV | T4 ou N2 ou M1 |
Le stade de la maladie est déterminé par ces critères. Cela permet une classification précise et une planification thérapeutique adaptée.
Classification selon la taille et l'invasion
La classification du carcinome corticosurrénalien considère aussi la taille et l'invasion de la tumeur. Les tumeurs grandes ou envahissantes sont classées plus avancées.
Classification de Weiss: Un système utilisé pour évaluer la malignité des tumeurs. Il considère l'architecture, les atypies nucléaires et la présence de mitoses.
Impact du stade sur le pronostic et la survie
Le stade de la maladie influence le pronostic et la survie. Les patients à stade précoce ont un meilleur pronostic que ceux à stade plus avancé.
"La stadification précise est essentielle pour déterminer le traitement le plus approprié et améliorer les chances de survie."
Medical Expert, Oncologue
En conclusion, la classification et la stadification précises sont cruciales. Elles permettent une prise en charge efficace et améliorent les chances de survie des patients.
Options de Traitement pour le Carcinome Corticosurrénalien
Nous allons voir les différentes manières de traiter le carcinome corticosurrénalien. C'est une maladie rare qui demande une approche sur mesure.
Approche chirurgicale
La chirurgie est souvent le premier choix pour traiter ce cancer. L'adénalectomie, ou la suppression de la glande surrénale touchée, est la méthode la plus utilisée. Cette opération peut se faire par une incision ou par laparoscopie, selon la taille et l'emplacement de la tumeur.
Il est essentiel de choisir un chirurgien expérimenté. Cela aide à réduire les risques et à améliorer les résultats.
Thérapies médicamenteuses
Les traitements médicamenteux, comme la chimiothérapie, sont cruciaux dans le traitement de ce cancer. Les mitotane sont souvent utilisés pour contrôler la production excessive d'hormones et ralentir la progression de la maladie.
Des autres médicaments chimiothérapeutiques peuvent être utilisés seuls ou ensemble. Cela dépend de la tumeur et de la réponse du patient.
Radiothérapie et ses indications
La radiothérapie est utilisée pour traiter les tumeurs restantes ou qui reviennent. Elle est aussi utile pour soulager les symptômes des métastases. Cette méthode aide à contrôler la douleur et à améliorer la qualité de vie des patients.
Thérapies ciblées et immunothérapie émergentes
Les thérapies ciblées et l'immunothérapie sont des options prometteuses. Elles visent à cibler les vulnérabilités des cellules tumorales et à renforcer la réponse immunitaire contre le cancer.
Des études cliniques sont en cours pour tester l'efficacité et la sécurité de ces traitements. Elles offrent de l'espoir aux patients atteints de cette maladie rare et agressive.
Gestion des Complications et Soins de Suivi
La gestion des complications et les soins de suivi sont cruciaux pour les patients atteints de carcinome corticosurrénalien. Cette maladie complexe nécessite une approche globale et coordonnée.
Gestion des déséquilibres hormonaux
Les déséquilibres hormonaux sont fréquents chez les patients atteints de carcinome corticosurrénalien. Il est important de surveiller les niveaux hormonaux et d'ajuster les traitements médicamenteux. Les patients peuvent avoir besoin de médicaments pour gérer les symptômes liés à ces déséquilibres.
● Surveillance régulière des niveaux hormonaux
● Ajustement des traitements médicamenteux
● Gestion des symptômes liés aux déséquilibres hormonaux
Surveillance et détection des récidives
La surveillance régulière est essentielle pour détecter les récidives tôt. Nous utilisons des techniques d'imagerie comme la tomodensitométrie (TDM) et l'imagerie par résonance magnétique (IRM) pour suivre l'état du patient.
- Examens d'imagerie réguliers
- Tests sanguins pour détecter les marqueurs tumoraux
- Évaluation clinique régulière
Qualité de vie pendant et après le traitement
Améliorer la qualité de vie est crucial pendant et après le traitement. Nous aidons les patients à gérer les effets secondaires et à améliorer leur bien-être général.
Les patients peuvent bénéficier de :
● Soutien nutritionnel
● Rééducation physique
● Soutien psychologique
Soutien psychologique et groupes de patients
Le soutien psychologique est essentiel pour les patients et leurs familles. Nous offrons des ressources pour aider à gérer les défis émotionnels liés à la maladie.
Les groupes de soutien offrent un espace pour partager et recevoir du soutien. Ils sont pour les personnes ayant vécu des expériences similaires.
Conclusion: Avancées et Perspectives dans la Recherche sur le Carcinome Corticosurrénalien
La recherche sur le carcinome corticosurrénalien avance, offrant de nouvelles chances aux patients. Les études génétiques et moléculaires aident à mieux comprendre cette maladie rare. Cela permet de développer des traitements plus précis et efficaces.
La prise en charge de l'adrenal adenocarcinoma évolue avec de nouvelles thérapies. Améliorer le diagnostic et les traitements est crucial pour les patients. La collaboration entre chercheurs, cliniciens et patients est essentielle pour avancer dans la recherche.
FAQ
Qu'est-ce que le carcinome corticosurrénalien ?
C'est un cancer rare et agressif. Il touche les glandes surrénales, juste au-dessus des reins.
Quels sont les symptômes du carcinome corticosurrénalien ?
Les symptômes varient. Ils incluent souvent le syndrome de Cushing, des douleurs abdominales et des problèmes de poids.
Comment diagnostique-t-on le carcinome corticosurrénalien ?
Pour diagnostiquer, on fait des examens cliniques et des tests sanguins. On utilise aussi l'imagerie médicale et parfois une biopsie.
Quels sont les facteurs de risque du carcinome corticosurrénalien ?
Les risques incluent des mutations génétiques et des syndromes héréditaires. Des facteurs génétiques ou environnementaux peuvent aussi jouer un rôle.
Quelles sont les options de traitement pour le carcinome corticosurrénalien ?
Les traitements incluent la chirurgie, les médicaments, la radiothérapie et des thérapies ciblées. L'immunothérapie émergente est aussi une option.
Comment gérer les complications du carcinome corticosurrénalien ?
Pour gérer les complications, il faut surveiller les déséquilibres hormonaux. Il faut aussi détecter les récidives tôt. Le soutien psychologique améliore la qualité de vie.
Quel est le pronostic pour les patients atteints de carcinome corticosurrénalien ?
Le pronostic dépend de plusieurs facteurs. Cela inclut le stade de la maladie, la réponse au traitement et d'autres aspects individuels.
Qu'est-ce que le système de stadification TNM pour le carcinome corticosurrénalien ?
Le système TNM classe la maladie. Il évalue la taille de la tumeur, l'atteinte des ganglions lymphatiques et la présence de métastases.
Existe-t-il des groupes de soutien pour les patients atteints de carcinome corticosurrénalien ?
Oui, il y a des groupes de soutien. Ils aident les patients et leurs familles à vivre avec la maladie et le traitement.
* Le contenu de notre site web est uniquement destiné à des fins d'information. Veuillez consulter votre médecin pour obtenir un diagnostic et un traitement. Le contenu de la page ne contient pas d'informations sur les services de santé thérapeutiques de l'hôpital Liv. .