Qu’est-ce que l’hydrocéphalie : causes, symptômes et effets à long terme ?
-
Understanding What Is Hydrocephalus
-
Prevalence and Epidemiology
-
Types of Hydrocephalus
-
Congenital vs. Acquired Hydrocephalus
-
Risk Factors for Developing Hydrocephalus
-
Common Symptoms of Hydrocephalus
-
Diagnosing Hydrocephalus
-
Treatment Options for Hydrocephalus
-
Long-Term Effects of Hydrocephalus
-
Living with Hydrocephalus
-
Conclusion
-
FAQ

Hydrocephalus is a serious condition where too much cerebrospinal fluid (CSF) builds up in the brain. This causes the brain's ventricles to expand, putting pressure on brain tissues. This buildup can lead to various symptoms and complications.
It's important to understand hydrocephalus to recognize its signs and get the right medical care. We'll look into the causes, symptoms, and long-term effects of this condition. This will give you a full picture of what it is.
Key Takeaways
● Hydrocephalus is a condition where cerebrospinal fluid builds up in the brain.
● Increased intracranial pressure can lead to various complications.
● Recognizing the signs of hydrocephalus is key for timely medical care.
● The condition can affect people of all ages, from newborns to the elderly.
● Knowing the causes and symptoms is essential for managing hydrocephalus well.
Understanding What Is Hydrocephalus

To understand hydrocephalus, we need to know its definition and how cerebrospinal fluid (CSF) works. Hydrocephalus happens when CSF builds up in the brain, causing pressure to rise.
Definition and Basic Mechanism
Hydrocephalus is a condition where too much cerebrospinal fluid (CSF) builds up in the brain. This can cause brain damage due to increased pressure.
The body makes about 500 milliliters of CSF every day. It moves through the brain's ventricles, covering the brain and spinal cord. Then, it gets reabsorbed into the blood.
Normal CSF Production and Circulation
CSF is made in the choroid plexus of the ventricles. It moves through the ventricles and the space around the brain and spinal cord. This helps protect them.
The CSF's normal path is:
● It's made in the choroid plexus.
● Then, it goes through the ventricles.
● Next, it flows into the space around the brain.
● Lastly, it gets reabsorbed into the blood through special structures.
In hydrocephalus, this path is blocked. This leads to too much CSF in the brain.
Prevalence and Epidemiology

It's important to understand hydrocephalus to help those affected. This condition affects people of all ages, impacting global health.
Occurrence Rates Across Age Groups
Hydrocephalus can happen at any age. It's most common in babies and people over 60. Babies often get it because of brain development issues or genetics. Older adults might get it due to aging, injuries, or other health problems.
Infant Prevalence: About 0.1–0.6% of newborns have hydrocephalus. This number might be higher in places with less access to healthcare.
Normal Pressure Hydrocephalus (NPH) is common in the elderly. It affects about 6% of people over 80. This shows the importance of early diagnosis in older adults.
Global Distribution and Statistics
Hydrocephalus is found worldwide, but its spread varies. It depends on healthcare access, prenatal care, and the presence of risk factors. In developing countries, more people might have hydrocephalus because of healthcare challenges.
Statistics show hydrocephalus is a big problem globally. Knowing these numbers helps us create better health plans. This way, we can improve life for those with hydrocephalus.
Types of Hydrocephalus
Knowing the different types of hydrocephalus is key for the right diagnosis and treatment. Hydrocephalus is divided based on how the cerebrospinal fluid (CSF) flows and the causes behind it.
Obstructive Hydrocephalus
Obstructive hydrocephalus, or non-communicating hydrocephalus, happens when CSF can't flow normally. This is due to a blockage in the CSF pathways. The blockage can occur at spots like the aqueduct of Sylvius or the foramina of Monro.
Key characteristics:
● Blockage in CSF pathways
● Impaired CSF flow
● Increased intracranial pressure
Communicating Hydrocephalus
Communicating hydrocephalus is when CSF can't be reabsorbed properly. This happens when the CSF pathways are open but the arachnoid villi, which reabsorb CSF, don't work right.
Main features:
Impaired CSF reabsorption
No blockage in CSF pathways
Often linked to meningitis or subarachnoid hemorrhage
Hypersecretory Hydrocephalus
Hypersecretory hydrocephalus is a rare condition where too much CSF is produced. This usually happens with a tumor called choroid plexus papilloma that makes too much CSF.
Notable aspects:
● Rare occurrence
● Linked to choroid plexus papilloma
● Too much CSF production
Normal Pressure Hydrocephalus (NPH)
Normal pressure hydrocephalus is a type of communicating hydrocephalus. It's marked by problems walking, memory loss, and not being able to control urination. It mostly affects older adults and is often mistaken for other brain diseases.
Diagnostic challenges:
● Looks like other brain diseases
● Needs careful testing to diagnose
● Can get better with the right treatment
In summary, knowing about the different types of hydrocephalus is vital for proper care and treatment. Each type has its own signs and causes, so a personalized approach is needed.
Congenital vs. Acquired Hydrocephalus
It's important to know the difference between congenital and acquired hydrocephalus. This condition happens when too much cerebrospinal fluid (CSF) builds up in the brain. It can be present at birth or develop later.
Congenital hydrocephalus is there from birth. It's linked to genetics or developmental issues. Things like spina bifida, infections during pregnancy, and other prenatal issues can cause it.
Congenital Hydrocephalus Causes
Congenital hydrocephalus happens because of genetic or environmental factors before birth. Some causes include:
● Genetic mutations that affect CSF flow or absorption
● Maternal infections like rubella or syphilis during pregnancy
● Developmental disorders, like spina bifida
● Other prenatal issues that impact brain growth
Studies show that congenital hydrocephalus can also be linked to other birth defects. This highlights the importance of good prenatal care and monitoring.
Acquired Hydrocephalus Development
Acquired hydrocephalus, by contrast, develops later in life. It can be caused by:
Infections, such as meningitis, that harm CSF pathways
Head injuries or bleeding inside the brain
Tumors or cysts that block CSF flow
Conditions that make it hard for CSF to be absorbed or move
Acquired hydrocephalus can happen at any age, from childhood to adulthood. Knowing the cause is key to finding the right treatment.
Both types of hydrocephalus need careful management and treatment. This helps to reduce symptoms and improve life quality. We'll look at risk factors, symptoms, and treatment options in more detail next.
Risk Factors for Developing Hydrocephalus
Hydrocephalus can come from genetics, medical issues, and the environment. Knowing these factors helps find who's at risk. It also helps in taking steps to prevent it.
Genetic Predispositions
Genetics are a big part of hydrocephalus. Some genetic conditions, like neural tube defects, raise the risk. For example, spina bifida can lead to hydrocephalus because of spine and brain issues.
Studies show that genetic changes can mess with cerebrospinal fluid (CSF) production and flow. Genetic counseling is advised for families with such conditions.
Medical Conditions Increasing Risk
Some medical issues can also raise the risk of hydrocephalus. These include:
● Bleeding in the brain (subarachnoid or intraventricular hemorrhage)
● Head trauma or injury
● Infections such as meningitis
● Brain tumors
These can block CSF flow, causing it to build up and increase brain pressure.
| Medical Condition | Association with Hydrocephalus |
| Subarachnoid Hemorrhage | Increased risk due to blood accumulation affecting CSF pathways |
| Head Trauma | Risk of developing hydrocephalus due to damage to CSF pathways |
| Meningitis | Infection can cause inflammation and scarring, obstructing CSF flow |
Environmental Factors
Environmental factors also play a role. Infections like rubella during pregnancy can increase newborn risk. Head injuries from accidents or falls can also cause hydrocephalus.
"The interplay between genetic predispositions, medical conditions, and environmental factors highlights the complexity of hydrocephalus etiology. Understanding these risk factors is essential for developing effective prevention and treatment strategies."
Knowing the risk factors helps healthcare providers help those at risk. This can lower the number of cases and its effects.
Common Symptoms of Hydrocephalus
Knowing the symptoms of hydrocephalus is key for early diagnosis and treatment. It affects people in different ways, depending on their age. So, it's important to know the signs in infants, children, and adults.
Symptoms in Infants
Infants with hydrocephalus show unique signs because their skulls are growing. They might have an enlarged head size, bulging fontanelles, and vomiting. This is because their skulls can grow to hold more cerebrospinal fluid (CSF).
Other signs in infants include being irritable, not wanting to eat, and being very tired. They might also have their eyes looking down, known as "sunsetting eyes."
Symptoms in Children
As kids get older, the signs of hydrocephalus change. Older children might have headaches, blurred vision, and balance problems. They could also have trouble focusing or remembering things.
Children with hydrocephalus might feel sick, throw up, and be easily upset. They could also have seizures or have trouble developing.
Symptoms in Adults
Adults with hydrocephalus show different symptoms. They might have cognitive decline, gait disturbances, and urinary incontinence. They could also have headaches, vision issues, and trouble with balance and coordination.
The symptoms in adults can be like those of other brain problems. So, doctors need to think about hydrocephalus when they see these signs.
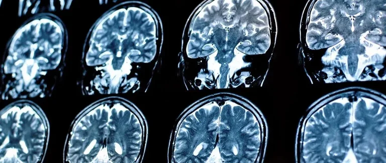
Diagnosing Hydrocephalus
Healthcare professionals use many methods to diagnose hydrocephalus. They do neurological exams and use MRI or CT scans. This detailed approach helps find the right treatment.
Neurological Examination
A neurological exam is the first step in diagnosing hydrocephalus. It checks how well the brain works. We look for signs like trouble walking or thinking clearly.
Imaging Techniques
Imaging is key in diagnosing hydrocephalus. MRI (Magnetic Resonance Imaging) and CT (Computed Tomography) scans show the brain's ventricles. They help us see if the ventricles are too big.
Other Diagnostic Tests
Other tests help confirm the diagnosis. Lumbar puncture (spinal tap) measures CSF pressure. Intracranial pressure monitoring also gives important information.
By using all these tests, we can accurately diagnose hydrocephalus. Then, we can create a treatment plan that fits the patient's needs.
Treatment Options for Hydrocephalus
Hydrocephalus treatment involves surgery, medicine, and other methods. The right treatment depends on the type of hydrocephalus, the patient's age, and health. These factors help doctors choose the best option.
Surgical Interventions
Surgery is key to treating hydrocephalus. It helps reduce cerebrospinal fluid (CSF) buildup. The main surgeries include:
● Shunt Placement: This is the most common surgery. It uses a shunt to move excess CSF away from the brain.
● Endoscopic Third Ventriculostomy (ETV): This creates a new CSF flow path in the brain. It's good for some types of hydrocephalus.
Medication Management
Medicines also help manage hydrocephalus symptoms. They can reduce CSF production. Some medicines include:
● Diuretics: These help by making more urine, reducing fluid buildup.
● Acetazolamide: This medicine lowers CSF production. It's used in certain cases.
It's important to use medicines with other treatments. Always under a doctor's watchful eye.
Alternative Treatments
There are also non-surgical and non-medical ways to help. These include:
Physical therapy to boost mobility and strength.
Occupational therapy to improve daily tasks.
Speech therapy for better communication.
"A mix of medical treatments and supportive therapies can greatly help those with hydrocephalus." -
A leading neurosurgeon
Using a variety of treatments can lead to better symptom control. It can also improve the patient's life quality.
Long-Term Effects of Hydrocephalus
It's important to know the long-term effects of hydrocephalus to give the best care. The effects vary based on the cause, treatment success, and the person's health.
Cognitive and Developmental Impacts
Hydrocephalus can affect thinking and growth, mainly if not treated well. Kids might have trouble with memory, focus, and learning. Grown-ups might find it hard to solve problems or make decisions.
Cognitive rehabilitation helps a lot. It teaches ways to improve memory and organize better. It also teaches workarounds for thinking problems.
Physical and Neurological Complications
Hydrocephalus can lead to physical and brain problems. These include ataxia, dyskinesia, and other movement issues. Some might have seizures, vision problems, or trouble with balance and coordination.
Seeing a doctor regularly is key to handling these issues. This might include physical therapy, occupational therapy, and medicine to help symptoms.
Psychosocial Effects and Quality of Life
Hydrocephalus can deeply affect a person's mood, social life, and happiness. Both kids and adults might feel frustrated, anxious, or sad because of it.
Support from loved ones and mental health experts is vital. Counseling and support groups offer help and a sense of community.
Understanding and dealing with hydrocephalus' long-term effects helps healthcare give better care. This improves the life of those with this condition.
Living with Hydrocephalus
Managing hydrocephalus is more than just medical treatment. It also involves lifestyle changes and community support. Understanding daily management and support resources is key.
Daily Management Strategies
Living with hydrocephalus means being proactive every day. This includes regular medical check-ups to keep an eye on your condition. It's also important to listen to your body and report any changes to your doctor.
Making lifestyle changes can help manage hydrocephalus. This might mean modifying daily activities to avoid making symptoms worse. Eating a healthy diet and getting enough rest and relaxation are also important. These steps can improve your quality of life.
| Management Strategy | Description | Benefit |
| Regular Medical Check-ups | Monitoring condition and adjusting treatments | Early detection of complications |
| Lifestyle Adjustments | Modifying daily activities and habits | Reduced symptom severity |
| Healthy Diet and Rest | Maintaining nutritional balance and adequate rest | Improved overall well-being |
Support Resources and Communities
Support from healthcare providers, family, and support groups is vital. Support groups let people share their stories and get emotional support. Online communities and forums also offer valuable resources and connections.
Using these support resources can make a big difference. They help patients cope with hydrocephalus better. With these resources, people can live more fulfilling lives, even with the challenges of their condition.
Conclusion
Hydrocephalus is a complex condition that needs careful care and management. It's important to understand its causes, symptoms, and long-term effects. This knowledge is key to effective treatment and better outcomes.
Hydrocephalus can happen at any age, and its symptoms change with age. Early diagnosis and proper management are vital. They help reduce long-term complications and improve life quality for those with hydrocephalus.
In our final thoughts, timely and effective intervention is key to managing hydrocephalus. By summarizing the main points, we stress the need for ongoing research and awareness. This will help improve patient care and outcomes.
FAQ
What is hydrocephalus?
Hydrocephalus is a serious condition where too much cerebrospinal fluid (CSF) builds up in the brain. This causes the brain's pressure to rise.
What are the symptoms of hydrocephalus in infants?
Infants with hydrocephalus might have a head that's too big. They might also have soft spots that bulge and be very irritable.
What causes hydrocephalus?
Hydrocephalus can happen for many reasons. It might be due to genes, certain health conditions, or even injuries or infections.
How is hydrocephalus diagnosed?
Doctors use many ways to find hydrocephalus. They do neurological tests, MRI or CT scans, and check the CSF pressure or its composition.
What are the treatment options for hydrocephalus?
Doctors can treat hydrocephalus in several ways. They might use surgery, like putting in a shunt, or give medicine. There are also other treatments.
What are the long-term effects of hydrocephalus?
Hydrocephalus can affect a person's brain and body in many ways. It can impact their thinking, movement, and even their mood and social life.
Can hydrocephalus be managed on a daily basis?
Yes, managing hydrocephalus every day is possible. People need to see doctors often and might need to change their lifestyle a bit.
Are there support resources available for individuals with hydrocephalus?
Yes, there are many places where people with hydrocephalus can find help. They can talk to family, join support groups, or find online communities.
What is normal pressure hydrocephalus (NPH)?
Normal pressure hydrocephalus (NPH) is a type of hydrocephalus. It happens when CSF builds up in the brain's ventricles. Symptoms include trouble walking, memory loss, and not being able to control urination.
How does CSF production and circulation work?
The body makes about 500 milliliters of CSF every day. It flows through the brain and spinal cord, then gets absorbed back into the blood.
What are the risk factors for developing hydrocephalus?
Some people are more likely to get hydrocephalus. This includes those with certain genes, health conditions like neural tube defects, and those who have had head injuries or infections.
Can hydrocephalus occur at any age?
Yes, hydrocephalus can happen at any age. But it's most common in babies and older adults.
* Le contenu de notre site web est uniquement destiné à des fins d'information. Veuillez consulter votre médecin pour obtenir un diagnostic et un traitement. Le contenu de la page ne contient pas d'informations sur les services de santé thérapeutiques de l'hôpital Liv. .