Les Tumeurs Cérébrales Sont-Elles Détectables par des Tests Sanguins? Guide Complet sur le Brain Cancer Scan
-
La Réalité des Tests Sanguins pour les Tumeurs Cérébrales
-
Les Tests Sanguins Courants et Leurs Limitations
-
Le Brain Cancer Scan: Méthodes d'Imagerie Essentielles
-
L'Examen Neurologique: Un Complément Indispensable
-
La Biopsie: Le Gold Standard pour le Diagnostic Définitif
-
Cas Particuliers: Tumeurs des Glandes Endocrines
-
Avancées Prometteuses: Les Biopsies Liquides
-
L'ADN Tumoral Circulant: Une Nouvelle Frontière
-
Autres Biomarqueurs Émergents dans le Sang
-
Le Parcours Diagnostique Complet d'une Tumeur Cérébrale
-
Quand Consulter: Signes d'Alerte à Ne Pas Ignorer
-
Conclusion: L'Avenir du Diagnostic des Tumeurs Cérébrales
-
FAQ

Face à des symptômes comme des maux de tête ou des problèmes de mémoire, on se demande si les tests sanguins peuvent aider. La réponse est non. Les tests sanguins courants ne peuvent pas trouver les tumeurs cérébrales.
Des nouvelles technologies, comme la biopsie liquide, promettent de changer cela. Elles peuvent trouver l'ADN des tumeurs dans le sang. Chez Liv Hospital, nous utilisons ces avancées pour aider nos patients. Nous offrons une évaluation complète et des stratégies de détection précoce.
Points Clés à Retenir
● Les tests sanguins standards ne peuvent pas détecter directement les tumeurs cérébrales.
● Les technologies de biopsie liquide offrent de nouvelles perspectives pour la détection précoce.
● Une évaluation complète nécessite une approche multidisciplinaire.
● Liv Hospital utilise des protocoles de diagnostic avancés pour détecter les tumeurs cérébrales.
● La détection précoce est cruciale pour un traitement efficace.
La Réalité des Tests Sanguins pour les Tumeurs Cérébrales

Les tests sanguins pour les tumeurs cérébrales sont complexes. Les progrès médicaux ont clarifié leurs limites dans le diagnostic.
Pourquoi les tests sanguins standards ne détectent pas les tumeurs cérébrales
Les tests sanguins standards ne sont pas faits pour trouver les tumeurs cérébrales. "La détection des tumeurs cérébrales nécessite des approches diagnostiques spécifiques en raison de la barrière hémato-encéphalique qui protège le cerveau," dit un expert en neurologie.
Cette barrière empêche le passage de substances, y compris celles des tumeurs cérébrales, dans le sang. Cela rend difficile leur détection par des analyses sanguines normales.
La barrière hémato-encéphalique et son rôle protecteur
La barrière hémato-encéphalique (BHE) protège le cerveau en contrôlant les échanges entre le sang et le cerveau. Elle agit comme un filtre sélectif, permettant aux nutriments essentiels d'atteindre le cerveau tout en bloquant les substances nocives.
Malheureusement, cette protection empêche aussi les marqueurs tumoraux d'atteindre la circulation sanguine. Ils ne peuvent pas être détectés par des tests sanguins.
Un neurologue dit : "Comprendre le rôle de la BHE est essentiel pour développer de nouvelles stratégies de diagnostic et de traitement des tumeurs cérébrales."
Les Tests Sanguins Courants et Leurs Limitations

La détection des tumeurs cérébrales par des tests sanguins est un grand défi. Ces tests sont faits pour vérifier la santé générale et trouver des anomalies dans le sang. Mais ils ne sont pas faits pour trouver les tumeurs cérébrales.
Numération formule sanguine (NFS) et panel métabolique
La numération formule sanguine (NFS) et le panel métabolique sont des tests sanguins courants. Ils aident à évaluer divers aspects de la santé. La NFS donne des infos sur les composants du sang, comme les globules rouges et blancs. Le panel métabolique, lui, évalue la fonction rénale et d'autres aspects métaboliques.
Cependant, ces tests ne sont pas faits pour trouver les tumeurs cérébrales. Par exemple, une NFS peut montrer des changements dans le nombre de globules blancs. Cela pourrait indiquer une infection ou une autre maladie, mais pas une tumeur cérébrale. De même, un panel métabolique peut montrer des changements dans les niveaux de glucose ou d'électrolytes. Mais ces changements ne sont pas directement liés aux tumeurs cérébrales.
Marqueurs tumoraux conventionnels et leur inefficacité pour les tumeurs cérébrales
Les marqueurs tumoraux sont des substances produites par les cellules cancéreuses. Certains sont utilisés pour surveiller certains cancers. Mais leur utilité pour les tumeurs cérébrales est limitée. Les marqueurs comme l'antigène prostatique spécifique (APS) ou l'antigène carcinoembryonnaire (ACE) ne sont pas spécifiques aux tumeurs cérébrales.
Donc, les tests sanguins qui mesurent ces marqueurs ne sont pas efficaces pour trouver les tumeurs cérébrales. La recherche cherche toujours des biomarqueurs spécifiques aux tumeurs cérébrales. Mais pour l'instant, aucun n'a été trouvé de façon concluante.
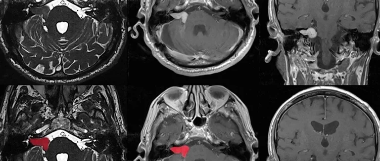
Le Brain Cancer Scan: Méthodes d'Imagerie Essentielles
Pour trouver les tumeurs cérébrales, les médecins utilisent des méthodes d'imagerie importantes. Ces techniques aident à trouver les tumeurs, à savoir leur type et leur impact sur le cerveau.
L'IRM (Imagerie par Résonance Magnétique)
L'IRM est très efficace pour explorer le cerveau et la moelle épinière. Elle fournit des images précises pour repérer les tumeurs.
Avantages de l'IRM :
● Excellente résolution des tissus mous
● Pas de radiation ionisante
● Possibilité de réaliser des images en plusieurs plans
La tomodensitométrie (TDM/Scanner)
La tomodensitométrie est une technique d'imagerie courante pour les tumeurs cérébrales. Elle est très utile en cas d'urgence.
Avantages du TDM :
● Rapidité de l'examen
● Disponibilité dans la plupart des centres hospitaliers
● Utile pour détecter les calcifications et les saignements
La tomographie par émission de positons (TEP)
La TEP est une méthode d'imagerie fonctionnelle. Elle évalue l'activité métabolique des tumeurs cérébrales. Elle est souvent combinée avec l'IRM ou le TDM.
Avantages de la TEP :
● Évaluation de l'activité métabolique des tumeurs
● Aide à la planification du traitement
● Utile pour évaluer la réponse au traitement
Voici un résumé comparatif des méthodes d'imagerie discutées :
| Méthode d'imagerie | Avantages | Utilisation principale |
| IRM | Excellente résolution des tissus mous, pas de radiation | Diagnostic détaillé des tumeurs cérébrales |
| TDM/Scanner | Rapidité, disponibilité, utile pour détecter les calcifications | Urgences, détection initiale des tumeurs |
| TEP | Évaluation de l'activité métabolique, planification du traitement | Évaluation de la malignité des tumeurs, suivi du traitement |
L'Examen Neurologique: Un Complément Indispensable
L'examen neurologique est crucial pour diagnostiquer les tumeurs cérébrales. Il aide à repérer les signes et symptômes d'une tumeur. Cet examen est essentiel dans le processus de diagnostic.
Signes et symptômes neurologiques indicatifs
Un examen neurologique évalue la fonction cérébrale. Il regarde la vision, l'ouïe, l'équilibre, la coordination, la force musculaire et les réflexes. Les signes d'une tumeur cérébrale incluent :
● Des maux de tête persistants ou sévères
● Des nausées ou des vomissements, surtout le matin
● Des troubles de la vision, tels que la vision double ou une perte de vision périphérique
● Des difficultés d'élocution ou de compréhension du langage
● Des problèmes d'équilibre ou de coordination
● Des changements dans la personnalité ou le comportement
● Des convulsions ou des crises d'épilepsie
Les symptômes varient selon la tumeur. Il est important de consulter un professionnel si vous ou quelqu'un que vous connaissez présente ces symptômes.
Évaluation clinique préliminaire
L'évaluation clinique préliminaire examine les antécédents médicaux et fait un examen physique complet. Le médecin vérifie les fonctions neurologiques pour détecter tout dysfonctionnement cérébral. Cette étape peut inclure :
● Un examen des nerfs crâniens
● Une évaluation de la force et du tonus musculaire
● Un test de coordination et d'équilibre
● Un examen des réflexes
Cette étape est cruciale pour décider si des tests d'imagerie sont nécessaires pour diagnostiquer une tumeur cérébrale.
En conclusion, l'examen neurologique est un outil diagnostique essentiel pour les tumeurs cérébrales. Il aide à identifier les signes et symptômes d'une tumeur et à déterminer les étapes suivantes pour un diagnostic précis.
La Biopsie: Le Gold Standard pour le Diagnostic Définitif
La biopsie est la méthode la plus précise pour diagnostiquer les tumeurs cérébrales. Cette procédure consiste à enlever un échantillon de tissu tumoral pour l'analyser en laboratoire. Cela permet de savoir si les cellules sont cancéreuses et de connaître le type et le grade de la tumeur.
Il y a plusieurs types de biopsies cérébrales, chacun avec ses avantages. La biopsie stéréotaxique est très utilisée. Elle utilise un cadre stéréotaxique et l'imagerie médicale pour prélever un échantillon avec précision.
Types de Biopsies Cérébrales
Les biopsies cérébrales se divisent en différentes catégories selon la technique utilisée :
● Biopsie stéréotaxique : Utilise un cadre stéréotaxique et l'imagerie médicale pour une grande précision.
● Biopsie à ciel ouvert : Réalisée lors d'une craniotomie, permettant une exploration plus large.
● Biopsie par aspiration à l'aiguille : Méthode moins invasive utilisant une aiguille pour prélever des échantillons.
Risques et Considérations
Même si la biopsie est très fiable pour diagnostiquer les tumeurs cérébrales, elle comporte des risques. Les complications possibles incluent l'infection, les saignements, et les dommages aux tissus cérébraux environnants. Le choix de la technique de biopsie dépend de plusieurs facteurs, comme la localisation et la taille de la tumeur, ainsi que l'état général du patient.
En conclusion, la biopsie est un outil diagnostique essentiel pour les tumeurs cérébrales. Elle offre des informations cruciales pour le traitement et le pronostic.
Cas Particuliers: Tumeurs des Glandes Endocrines
Les tumeurs cérébrales des glandes endocrines posent des défis de diagnostic. Elles sont rares mais nécessitent une attention particulière. Nous allons voir comment certaines peuvent être détectées par des tests sanguins.
Tumeurs hypophysaires et tests hormonaux
Les tumeurs hypophysaires sont des tumeurs bénignes de la glande pituitaire. Elles peuvent changer la production hormonale, causant des symptômes. Les tests sanguins sont essentiels pour diagnostiquer ces tumeurs.
Les tests hormonaux aident à repérer les problèmes hormonaux causés par ces tumeurs. Ils mesurent l'hormone de croissance, la prolactine, l'hormone adrénocorticotrope et les hormones thyroïdiennes. Ces tests montrent les perturbations hormonales.
Tumeurs de la glande pinéale et marqueurs spécifiques
Les tumeurs de la glande pinéale sont rares et peuvent être bénignes ou malignes. Cette glande régule les rythmes circadiens en produisant de la mélatonine. Certaines tumeurs peuvent libérer des marqueurs spécifiques dans le sang ou le liquide céphalo-rachidien.
Les tests sanguins ne sont pas toujours le premier choix pour diagnostiquer ces tumeurs. Mais, la recherche de marqueurs tumoraux peut aider dans certains cas. "La détection de certains marqueurs tumoraux dans le sang ou le LCR peut aider à diagnostiquer et à surveiller les tumeurs de la glande pinéale," dit un expert en neuro-oncologie.
En conclusion, les tumeurs des glandes endocrines, comme les tumeurs hypophysaires et celles de la glande pinéale, peuvent être diagnostiquées par des tests sanguins. Ces tests aident à repérer des anomalies hormonales ou des marqueurs tumoraux. Cela aide les médecins à faire un bon diagnostic et à planifier un traitement adapté.
Avancées Prometteuses: Les Biopsies Liquides
Les biopsies liquides sont une nouvelle façon de détecter les tumeurs cérébrales. Elles analysent le sang pour trouver des marqueurs tumoraux. C'est une méthode innovante.
Principes et Fonctionnement
Les biopsies liquides utilisent des technologies avancées pour trouver les mutations des tumeurs. Elles analysent le sang avec une grande précision. Cela permet de suivre les tumeurs et de trouver des résidus après le traitement.
Elles détectent l'ADN tumoral circulant dans le sang. Cet ADN est libéré par les cellules tumorales. Il sert de "signature" génétique de la tumeur.
Applications Actuelles et Limitations
Les biopsies liquides sont actuellement utilisées pour surveiller les traitements. Elles aident aussi à détecter les résistances. Elles ont un grand potentiel pour le diagnostic précoce des récidives.
Elles ont des limites. La sensibilité et la spécificité varient selon la technologie et le type de tumeur. La présence de l'ADNtc peut être influencée par plusieurs facteurs.
Voici les avantages et défis des biopsies liquides :
● Avantages :Moins invasives que les biopsies traditionnelles
● Permettent une surveillance continue de la tumeur
● Potentiel pour le diagnostic précoce des récidives
● Défis :Sensibilité et spécificité variables
● Influence de divers facteurs sur la présence de l'ADNtc
● Nécessité de standardisation des méthodes
Les recherches en cours visent à améliorer ces méthodes. Elles cherchent à rendre les biopsies liquides plus précises et utiles dans de nombreuses applications cliniques.
L'ADN Tumoral Circulant: Une Nouvelle Frontière
L'ADN tumoral circulant est un biomarqueur prometteur pour détecter les tumeurs cérébrales sans intervention invasive. Cette technologie émergente analyse l'ADN tumoral dans le sang. Elle offre une nouvelle façon de diagnostiquer et de suivre les cancers cérébraux.
Mécanismes de détection
La détection de l'ADN tumoral circulant utilise des techniques de biologie moléculaire avancées. Ces méthodes identifient et comptent les fragments d'ADN tumoral dans le sang. Les technologies de séquençage de nouvelle génération (NGS) sont cruciales pour cette analyse. Elles permettent de détecter précisément les altérations génétiques des tumeurs.
Le processus comprend l'extraction de l'ADN plasmatique, l'amplification des séquences ciblées, et l'analyse des données de séquençage. Chaque étape nécessite une grande précision pour éviter les erreurs et assurer la fiabilité des résultats.
Études cliniques en cours
De nombreuses études cliniques sont en cours pour évaluer l'efficacité de la détection de l'ADN tumoral circulant. Elles visent à confirmer la sensibilité et la spécificité de cette méthode. Elles cherchent aussi à voir si elle peut détecter les tumeurs à un stade précoce.
Les premiers résultats sont prometteurs. Ils montrent que la détection de l'ADN tumoral circulant peut identifier les tumeurs cérébrales avec une grande précision, même avant que des changements ne soient visibles à l'IRM. Cela pourrait améliorer le diagnostic et la prise en charge des patients.
Potentiel diagnostique futur
Le potentiel de l'ADN tumoral circulant pour le diagnostic est immense. À l'avenir, cette technologie pourrait devenir un outil standard pour le diagnostic et le suivi des tumeurs cérébrales. Elle pourrait permettre une surveillance en temps réel de la réponse au traitement et détecter précocement les récidives.
De plus, l'analyse de l'ADN tumoral circulant pourrait donner des informations précieuses sur les tumeurs. Cela aiderait à personnaliser les traitements et à améliorer les résultats pour les patients.
Autres Biomarqueurs Émergents dans le Sang
Les recherches sur les biomarqueurs sanguins pour les tumeurs cérébrales avancent. Elles ouvrent la porte à un diagnostic précoce. Les protéines spécifiques aux tumeurs et les microARN sont au cœur de ces avancées. Ils pourraient changer le diagnostic et le traitement des tumeurs cérébrales.
Protéines spécifiques aux tumeurs
Certaines protéines spécifiques aux tumeurs cérébrales se retrouvent dans le sang. Ces protéines, comme les facteurs de croissance et les cytokines, pourraient aider au diagnostic et au suivi des tumeurs.
● Facteurs de croissance : Les facteurs de croissance, comme l'EGFR, sont souvent surexprimés dans certaines tumeurs cérébrales.
● Cytokines : Les cytokines, comme l'IL-6, sont élevées en présence de tumeurs cérébrales. Elles pourraient servir de biomarqueurs.
MicroARN et autres acides nucléiques
Les microARN sont des petits ARN non codants essentiels pour la régulation des gènes. Des études récentes montrent qu'ils sont dysrégulés dans les tumeurs cérébrales. Ils pourraient être détectés dans le sang.
Voici quelques microARN liés aux tumeurs cérébrales :
● miR-21 : Surexprimé dans de nombreux cancers, y compris les tumeurs cérébrales.
● miR-10b : Associé à la progression et à la malignité des tumeurs cérébrales.
Ces biomarqueurs émergents offrent de nouvelles opportunités pour améliorer le diagnostic et le suivi des tumeurs cérébrales. Mais, il faut faire plus de recherches pour confirmer leur efficacité et leur spécificité.
Le Parcours Diagnostique Complet d'une Tumeur Cérébrale
Pour diagnostiquer une tumeur cérébrale, les médecins suivent un parcours précis. Ce parcours comprend plusieurs étapes importantes. Il va de la première suspicion jusqu'au diagnostic final.
De la suspicion clinique au diagnostic définitif
La première étape est souvent la suspicion clinique. Les médecins examinent les symptômes et l'histoire médicale du patient. Ils décident alors si des tests supplémentaires sont nécessaires.
Les tests d'imagerie comme l'IRM et la tomodensitométrie sont cruciaux. Ils aident à voir la tumeur et à comprendre sa taille et sa localisation.
Rôle complémentaire des différentes méthodes
Les examens neurologiques sont aussi essentiels. Ils évaluent l'impact de la tumeur sur le cerveau. Ces tests permettent d'identifier les déficits neurologiques et de planifier le traitement.
La biopsie est le meilleur moyen de diagnostiquer une tumeur cérébrale. Elle permet d'analyser un échantillon de tissu tumoral. C'est crucial pour connaître le type et le degré de la tumeur.
Voici les étapes clés du diagnostic d'une tumeur cérébrale :
| Étape | Description | Rôle dans le diagnostic |
| Suspicion clinique | Évaluation des symptômes et antécédents médicaux | Déclenche les examens diagnostiques |
| Imagerie médicale | IRM, tomodensitométrie, etc. | Détection et caractérisation de la tumeur |
| Examen neurologique | Évaluation des fonctions cérébrales | Identification des déficits neurologiques |
| Biopsie | Prélèvement de tissu tumoral | Diagnostic définitif et planification du traitement |
En utilisant ces différentes méthodes, les médecins peuvent faire un diagnostic précis. Ils peuvent alors planifier un traitement efficace pour les patients.
Quand Consulter: Signes d'Alerte à Ne Pas Ignorer
Il est essentiel de reconnaître les signes avant-coureurs d'une tumeur cérébrale. Ces signes varient selon les personnes. Mais certains symptômes neurologiques sont très alarmants.
Symptômes neurologiques préoccupants
Des maux de tête sévères, des changements cognitifs ou des déficits neurologiques méritent une attention immédiate. Ces symptômes peuvent inclure des troubles de la vision, des difficultés d'élocution, ou des changements dans la personnalité.
Il est crucial de surveiller ces symptômes. Si vous ou quelqu'un que vous connaissez les ressent, consultez un professionnel de la santé.
Facteurs de risque et antécédents à considérer
Certains facteurs de risque et antécédents médicaux peuvent augmenter le risque de tumeur cérébrale. Connaître ces facteurs est essentiel pour une détection précoce.
| Facteurs de Risque | Symptômes à Surveiller |
| Antécédents familiaux de tumeurs cérébrales | Maux de tête sévères et persistants |
| Exposition à des radiations ionisantes | Changements cognitifs ou de comportement |
| Certaines conditions génétiques | Troubles de la vision ou de l'élocution |
En résumé, connaître les signes d'alerte et les facteurs de risque peut aider à détecter les tumeurs cérébrales tôt. Si vous avez des symptômes persistants ou inhabituels, consultez un professionnel de la santé sans tarder.
Conclusion: L'Avenir du Diagnostic des Tumeurs Cérébrales
Les progrès dans le diagnostic des tumeurs cérébrales sont encourageants. Les nouvelles technologies, comme les biopsies liquides et les tests d'ADN tumoral circulant, offrent de nouvelles voies. Elles visent à améliorer la précision du diagnostic.
La révolution dans le diagnostic des tumeurs cérébrales est en marche. Les chercheurs travaillent dur pour créer des méthodes plus précises et moins douloureuses. Cela pourrait grandement aider les patients.
L'avenir du diagnostic des tumeurs cérébrales dépend de l'utilisation de ces nouvelles technologies. Nous sommes pleins d'espoir pour la révolution qu'elles apporteront dans ce domaine.
Les avancées dans l'imagerie médicale et les biomarqueurs aident aussi à mieux comprendre les tumeurs cérébrales. Cela nous aide à mieux diagnostiquer et traiter ces maladies complexes.
FAQ
Les tumeurs cérébrales peuvent-elles être détectées par des tests sanguins?
Les tests sanguins standards ne détectent pas bien les tumeurs cérébrales. Cela est dû au fait que ces tumeurs ne libèrent pas de marqueurs dans le sang.
Pourquoi les tests sanguins ne détectent-ils pas les tumeurs cérébrales?
La barrière hémato-encéphalique protège le cerveau. Elle empêche les marqueurs tumoraux de passer dans le sang. Ainsi, les tests sanguins ne sont pas efficaces pour le diagnostic.
Quels sont les tests sanguins couramment utilisés et leurs limites?
Les tests comme la numération formule sanguine (NFS) et les panels métaboliques sont utilisés. Mais ils ne peuvent pas détecter les tumeurs cérébrales. Les marqueurs tumoraux conventionnels sont aussi inefficaces.
Comment diagnostiquer les tumeurs cérébrales?
Pour diagnostiquer, on utilise l'IRM, la tomodensitométrie et la tomographie par émission de positons. On fait aussi des examens neurologiques. Une biopsie est parfois nécessaire pour un diagnostic précis.
Qu'est-ce qu'une biopsie cérébrale?
Une biopsie cérébrale consiste à prendre un échantillon de tissu cérébral. Cela permet de connaître le type et le grade de la tumeur.
Les tumeurs des glandes endocrines peuvent-elles être détectées par des tests sanguins?
Oui, certaines tumeurs des glandes endocrines peuvent être détectées par des tests sanguins. Ces tests cherchent des niveaux anormaux d'hormones ou des marqueurs spécifiques.
Qu'est-ce qu'une biopsie liquide?
Une biopsie liquide analyse des échantillons de sang ou d'autres fluides corporels. Elle cherche des marqueurs tumoraux ou de l'ADN tumoral circulant.
Quel est le potentiel de l'ADN tumoral circulant dans le diagnostic des tumeurs cérébrales?
L'analyse de l'ADN tumoral circulant est prometteuse pour le diagnostic des tumeurs cérébrales. Mais, elle nécessite encore des études cliniques approfondies.
Quels sont les signes d'alerte qui pourraient indiquer une tumeur cérébrale?
Des symptômes comme des maux de tête sévères, des troubles de la vision, des convulsions ou des changements de comportement doivent alerter. Il faut consulter un médecin.
Comment se déroule le parcours diagnostique d'une tumeur cérébrale?
Le diagnostic commence par une suspicion clinique. Ensuite, on fait des examens d'imagerie et des évaluations neurologiques. Une biopsie est parfois nécessaire pour un diagnostic définitif.
* Le contenu de notre site web est uniquement destiné à des fins d'information. Veuillez consulter votre médecin pour obtenir un diagnostic et un traitement. Le contenu de la page ne contient pas d'informations sur les services de santé thérapeutiques de l'hôpital Liv. .