Que Peut Révéler une Scintigraphie Osseuse : Détection du Cancer, de l'Arthrite et des Maladies Métastatiques?
-
Comprendre la Scintigraphie Osseuse : Principes Fondamentaux
-
Que Peut Révéler une Scintigraphie Osseuse : Vue d'Ensemble Complète
-
Méthodologie et Déroulement d'une Scintigraphie Osseuse
-
Détection du Cancer Osseux Primaire
-
Identification des Métastases Osseuses
-
Diagnostic de l'Arthrite par Scintigraphie Osseuse
-
Comparaison avec d'Autres Techniques d'Imagerie
-
Avantages et Inconvénients de la Scintigraphie Osseuse
-
Indications Cliniques Spécifiques
-
Innovations Récentes en Scintigraphie Osseuse
-
Préparation et Précautions pour le Patient
-
Conclusion : L'Avenir de la Scintigraphie Osseuse dans le Diagnostic Médical
-
FAQ
La scintigraphie osseuse est une technique d'imagerie avancée. Elle utilise des isotopes radioactifs pour voir l'activité osseuse anormale. Cette méthode aide à diagnostiquer diverses conditions osseuses, comme les métastases cancéreuses, l'arthrite et d'autres maladies.
À l'hôpital Liv, nous mettons l'accent sur le patient. Nous voulons des diagnostics de classe mondiale. Ainsi, chaque examen donne des résultats précis pour guider votre traitement.
Points Clés à Retenir
● La scintigraphie osseuse détecte les anomalies osseuses avec précision.
● Cette technique est essentielle pour diagnostiquer les maladies osseuses.
● Nous offrons des diagnostics de haute qualité à nos patients.
● Les résultats de la scintigraphie osseuse guident le traitement médical.
● Notre équipe est dédiée à fournir des soins personnalisés.
Comprendre la Scintigraphie Osseuse : Principes Fondamentaux

La scintigraphie osseuse, ou radionuclide bone scanning, est une méthode pour examiner les os. Elle utilise un traceur radioactif. Cela aide les médecins à voir les activités métaboliques des os et à détecter des anomalies.
Définition et Terminologie Médicale
La scintigraphie osseuse injecte un traceur radioactif dans le sang. Ce traceur se fixe dans les zones osseuses actives. Ainsi, on peut voir les anomalies des os.
Les termes comme "traceur radioactif" et "activité métabolique osseuse" sont importants. Ils aident à comprendre les résultats de la scintigraphie.
Historique et Évolution de la Technique
La scintigraphie osseuse a beaucoup évolué depuis son début. Elle était d'abord pour détecter les métastases osseuses. Maintenant, elle est utilisée pour diagnostiquer de nombreuses conditions osseuses.
La technologie a amélioré la précision de la scintigraphie. Elle est devenue un outil clé dans la médecine moderne.
Place dans l'Arsenal Diagnostique Moderne
La scintigraphie osseuse est essentielle pour diagnostiquer de nombreuses conditions. Elle aide à détecter les cancers, les arthrites et les maladies métaboliques des os. Elle donne une vue complète du squelette, permettant de voir des anomalies qui d'autres techniques ne peuvent pas détecter.
Voici un tableau des avantages de la scintigraphie osseuse :
| Avantages | Description |
| Détection précoce | Permet de détecter les anomalies osseuses à un stade précoce. |
| Sensibilité élevée | Capable de détecter des changements osseux subtils. |
| Vue d'ensemble du squelette | Offre une image complète du système osseux. |
Que Peut Révéler une Scintigraphie Osseuse : Vue d'Ensemble Complète

La scintigraphie osseuse est un outil de diagnostic très puissant. Elle révèle différentes anomalies osseuses. Cette technique est cruciale pour détecter et suivre l'évolution de plusieurs conditions osseuses.
Anomalies Osseuses Détectables
Elle permet de trouver une variété d'anomalies, comme les métastases osseuses et les infections. Elle aide aussi à repérer les fractures occultes et certaines maladies métaboliques. "Les métastases osseuses sont une indication majeure, avec une sensibilité et une spécificité d'environ 78% et 48%," souligne son rôle dans le diagnostic du cancer.
Les anomalies que l'on peut détecter incluent :
● Les métastases osseuses liées au cancer
● Les infections osseuses
● Les fractures non visibles sur les radiographies standards
● Certaines maladies métaboliques osseuses
Limites de Détection
La scintigraphie osseuse a des limites. Elle peut donner des résultats faussement positifs ou ne pas voir certaines lésions petites. Il est essentiel de connaître ces limites lors de l'analyse des résultats.
Les limites incluent :
● La possibilité de résultats faussement positifs
● La difficulté à détecter les lésions de petite taille
● La nécessité d'une interprétation prudente
Interprétation des Résultats
L'analyse des résultats de la scintigraphie osseuse demande une expertise médicale. Les images sont examinées pour trouver les zones d'hyperfixation du traceur radioactif. Ces zones peuvent montrer différentes anomalies osseuses.
Une interprétation précise est cruciale pour un diagnostic correct et un traitement adapté. Les résultats doivent être comparés aux antécédents médicaux du patient et à d'autres examens diagnostiques.
Méthodologie et Déroulement d'une Scintigraphie Osseuse
Une scintigraphie osseuse comprend plusieurs étapes importantes. Elles vont de la préparation du patient à l'obtention des images. Chaque étape est cruciale pour obtenir des résultats précis.
Préparation du Patient
Avant la scintigraphie, il faut suivre des instructions précises. Il est conseillé de boire beaucoup d'eau avant et après l'examen pour éliminer le traceur radioactif. Informez votre médecin de toute condition médicale ou de médicaments pris.
Injection du Traceur Radioactif
La première étape est l'injection d'un traceur radioactif dans une veine. Ce traceur se fixe sur les os et aide à détecter les anomalies. L'injection est généralement bien tolérée, mais peut causer une légère douleur.
Acquisition des Images
Après l'injection, le patient doit attendre quelques heures. Il est conseillé de boire beaucoup d'eau pendant cette période. Les images sont ensuite prises avec une gamma-caméra, qui détecte les radiations du traceur.
La scintigraphie osseuse est essentielle pour diagnostiquer diverses anomalies. Elle aide à détecter des cancers, fractures et maladies métaboliques. En comprenant la procédure, les patients peuvent mieux se préparer et diminuer leur anxiété.
Détection du Cancer Osseux Primaire
La scintigraphie osseuse est cruciale pour détecter le cancer osseux primaire tôt. Les cancers osseux primaires se développent directement dans les os. Ils diffèrent des métastases osseuses, qui viennent d'autres cancers. Nous allons voir les différents types de cancers osseux primaires, leurs caractéristiques scintigraphiques, et la précision de la scintigraphie osseuse.
Types de Cancers Osseux Primaires
Il existe plusieurs types de cancers osseux primaires. On trouve l'ostéosarcome, le chondrosarcome, et le sarcome d'Ewing. Chacun affecte différemment le squelette.
● Ostéosarcome : Le plus commun, souvent chez les jeunes.
● Chondrosarcome : Plus fréquent chez les adultes, provenant des cellules cartilagineuses.
● Sarcome d'Ewing : Une tumeur maligne agressive pouvant toucher les os ou les tissus mous.
Caractéristiques Scintigraphiques
La scintigraphie osseuse aide à détecter ces cancers grâce à sa capacité à montrer les zones de remodelage osseux. Les tumeurs malignes se voient comme des zones d'hyperfixation intense sur les images.
Taux de Sensibilité et Spécificité
La scintigraphie osseuse est très sensible pour trouver les lésions osseuses actives. Mais, elle n'est pas toujours spécifique pour différencier les tumeurs malignes des lésions bénignes.
| Type de Cancer | Sensibilité | Spécificité |
| Ostéosarcome | Élevée | Modérée |
| Chondrosarcome | Modérée | Faible |
| Sarcome d'Ewing | Élevée | Modérée |
En conclusion, la scintigraphie osseuse est un outil important pour détecter les cancers osseux primaires. Elle est très sensible pour les lésions actives. Mais, la spécificité dépend du type de cancer. Une analyse détaillée des images, avec d'autres méthodes d'imagerie et des évaluations cliniques, est cruciale pour un diagnostic précis.
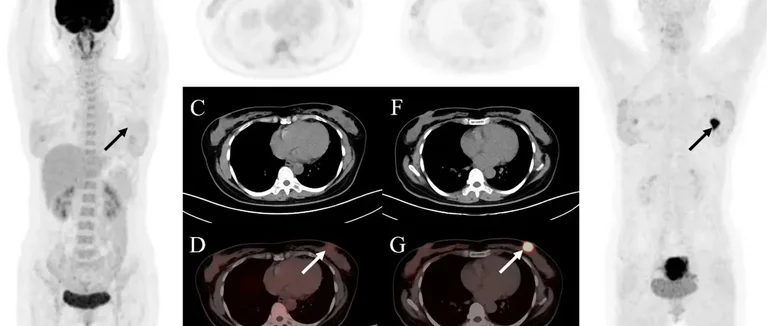
Identification des Métastases Osseuses
La scintigraphie osseuse est un outil essentiel pour trouver les métastases osseuses. Elle aide les médecins à diagnostiquer et à traiter les cancers qui atteignent les os.
Cancers Fréquemment Associés aux Métastases Osseuses
Des cancers comme ceux du sein, du poumon, de la prostate, de la thyroïde et du rein se propagent souvent aux os. Ces cancers peuvent causer de la douleur et des fractures, ce qui affecte la vie des patients.
● Cancer du sein : Les métastases osseuses sont fréquentes chez les femmes atteintes de cancer du sein avancé.
● Cancer du poumon : Le cancer du poumon peut se répandre rapidement aux os, causant des complications sévères.
● Cancer de la prostate : Les hommes avec cancer de la prostate sont à risque de développer des métastases osseuses.
● Cancer de la thyroïde : Certains cancers de la thyroïde peuvent se propager aux os.
● Cancer du rein : Les patients atteints de cancer du rein peuvent développer des métastases osseuses.
Patterns Métastatiques Caractéristiques
Les métastases osseuses montrent des patterns spécifiques en scintigraphie osseuse. Ces patterns aident les médecins à savoir si les métastases sont présentes et à quel point elles sont étendues. Par exemple, elles peuvent apparaître comme des foyers hyperfixants dans les os.
Reconnaître ces patterns est crucial pour un bon diagnostic et un traitement adapté. Nous utilisons ces informations pour suivre la maladie et ajuster les traitements si nécessaire.
Diagnostic de l'Arthrite par Scintigraphie Osseuse
La scintigraphie osseuse est essentielle pour détecter et suivre l'arthrite. Elle examine l'activité métabolique des os. Cela aide à repérer les zones touchées par l'arthrite.
Ostéoarthrite et Signatures Scintigraphiques
L'ostéoarthrite est une maladie qui affecte les articulations. Elle provoque la détérioration du cartilage et la formation de tissu osseux nouveau. La scintigraphie osseuse détecte cette maladie en montrant des zones d'activité osseuse accrue.
Les signes de l'ostéoarthrite comprennent :
● Une absorption accrue du traceur dans les zones articulaires affectées
● Des modifications de la structure osseuse visibles sous forme de fixation accrue ou diminuée du traceur
Polyarthrite Rhumatoïde
La polyarthrite rhumatoïde est une maladie auto-immune. Elle cause une inflammation chronique des articulations. La scintigraphie osseuse aide à évaluer l'inflammation et les dommages osseux.
Les caractéristiques de la polyarthrite rhumatoïde incluent :
| Caractéristique | Description |
| Inflammation articulaire | Fixation accrue du traceur dans les articulations enflammées |
| Dommages osseux | Zones d'absorption réduite du traceur indiquant des dommages osseux |
Différenciation entre Pathologies Arthritiques
Il est crucial de différencier les différentes formes d'arthrite pour un traitement adéquat. La scintigraphie osseuse, avec d'autres techniques d'imagerie et évaluations cliniques, aide à distinguer les pathologies arthritiques.
"La capacité de la scintigraphie osseuse à détecter les changements métaboliques osseux précoces en fait un outil précieux pour le diagnostic et le suivi de l'arthrite."
Medical Expert, Rhumatologue
En résumé, la scintigraphie osseuse est un outil diagnostique puissant pour l'arthrite. Elle offre des informations précieuses sur l'activité de la maladie et les dommages osseux.
Comparaison avec d'Autres Techniques d'Imagerie
Plusieurs méthodes d'imagerie médicale existent pour examiner les os. On a la scintigraphie osseuse, la radiographie, la TDM, l'IRM et le TEP-Scan. Chaque technique a ses avantages et ses limites. Le choix dépend du cas clinique.
Radiographie Conventionnelle
La radiographie est souvent utilisée pour voir les os. Elle aide à trouver les fractures et certaines anomalies. Mais, elle ne repère pas bien les métastases osseuses précoces.
Tomodensitométrie (TDM)
La TDM donne des images plus détaillées que la radiographie. Elle est bonne pour voir la structure des os et les anomalies complexes. Mais, elle expose plus à la radiation que la radiographie.
Imagerie par Résonance Magnétique (IRM)
L'IRM est non invasive et donne des images détaillées des tissus mous et des os. Elle est utile pour les pathologies de la moelle osseuse. L'IRM repère bien les métastases et les infections osseuses.
TEP-Scan
Le TEP-Scan utilise des traceurs radioactifs pour voir l'activité métabolique. Il est bon pour détecter les cancers et voir leur propagation. Il peut être combiné avec la TDM pour plus d'informations.
En bref, chaque méthode d'imagerie a ses points forts et faibles. La scintigraphie osseuse est précieuse pour les pathologies osseuses, surtout pour les métastases. Le choix de la technique dépend du cas clinique et des informations nécessaires.
Avantages et Inconvénients de la Scintigraphie Osseuse
La scintigraphie osseuse est un outil diagnostique très utile. Elle permet d'examiner l'ensemble du squelette. C'est essentiel pour diagnostiquer différentes conditions.
Avantages Diagnostiques
La scintigraphie osseuse a beaucoup d'avantages. Elle aide à trouver les problèmes osseux tôt, comme les métastases, les fractures occultes et les infections. Elle montre l'ensemble du squelette en une seule fois, ce qui aide beaucoup dans le diagnostic et le suivi des maladies osseuses.
● Détection précoce des anomalies osseuses
● Évaluation de l'ensemble du squelette en une seule procédure
● Utile pour le suivi des maladies osseuses
Exposition aux Radiations
La scintigraphie osseuse expose à des radiations. Cette exposition est généralement faible. Mais, cela peut inquiéter certaines personnes, comme les femmes enceintes et les enfants. Il faut bien peser les avantages contre les risques d'exposition aux radiations.
Considérations de Coût et d'Accessibilité
Le coût et l'accessibilité de la scintigraphie osseuse varient. Elle est souvent plus abordable que d'autres techniques d'imagerie, comme l'IRM ou le TEP-Scan. Mais, l'accès à l'équipement et l'expertise pour interpréter les résultats peuvent limiter son accessibilité.
En conclusion, la scintigraphie osseuse a de grands avantages diagnostiques. Mais, il faut aussi considérer l'exposition aux radiations et le coût et l'accessibilité.
Indications Cliniques Spécifiques
La scintigraphie osseuse est essentielle pour diagnostiquer et suivre plusieurs maladies osseuses. Elle aide à explorer diverses conditions, des douleurs inexplicables aux maladies métaboliques. Cette technique d'imagerie médicale est très utile.
Douleurs Osseuses d'Origine Indéterminée
Les douleurs osseuses sans cause connue sont fréquemment traitées avec la scintigraphie osseuse. Cette méthode aide à trouver des problèmes osseux qui ne se voient pas sur les radiographies. Ces douleurs peuvent provenir de fractures cachées, d'infections ou de tumeurs.
La scintigraphie offre une vue complète du squelette. Cela aide à trouver la cause des douleurs.
Suivi Post-Traitement du Cancer
Le suivi après le traitement du cancer est crucial pour la scintigraphie osseuse. Les patients ayant eu du cancer, surtout ceux avec des cancers qui se propagent aux os, doivent être surveillés. Cela aide à détecter les métastases osseuses tôt.
La scintigraphie est un outil clé pour repérer les métastases osseuses. Cela permet une intervention rapide et efficace.
Évaluation des Traumatismes Non Visibles en Radiographie
Les traumatismes non vus sur les radiographies sont une autre raison d'utiliser la scintigraphie osseuse. Des blessures osseuses peuvent ne pas être visibles sur les radiographies, mais la scintigraphie peut les détecter.
Cette technique est très utile pour les personnes âgées ou avec des os fragiles. Des fractures peuvent se produire sans être visibles sur les radiographies.
Maladies Métaboliques Osseuses
Les maladies métaboliques osseuses, comme l'ostéoporose ou la maladie de Paget, nécessitent la scintigraphie osseuse. Cette technique aide à évaluer l'étendue et l'activité de ces maladies. Cela guide le traitement et surveille la réponse au traitement.
Voici un tableau résumant les principales indications cliniques pour la scintigraphie osseuse :
| Indication Clinique | Description |
| Douleurs Osseuses d'Origine Indéterminée | Détection d'anomalies osseuses causes de douleurs |
| Suivi Post-Traitement du Cancer | Surveillance des métastases osseuses |
| Évaluation des Traumatismes Non Visibles | Détection de fractures ou blessures non visibles |
| Maladies Métaboliques Osseuses | Évaluation de l'ostéoporose, maladie de Paget, etc. |
Innovations Récentes en Scintigraphie Osseuse
Les innovations récentes ont changé la scintigraphie osseuse. Elles aident à mieux comprendre les maladies des os. Ces avancées rendent le diagnostic plus précis et les traitements plus efficaces.
Nouveaux Traceurs Radioactifs
Les nouveaux traceurs radioactifs sont un grand pas en avant. Ils permettent de mieux voir les problèmes osseux. Par exemple, ils aident à trouver les métastases osseuses plus tôt.
Les nouveaux traceurs radioactifs comprennent :
● Des agents de liaison osseuse améliorés pour une meilleure visualisation des structures osseuses.
● Des traceurs spécifiques pour les pathologies particulières, telles que les métastases osseuses.
Techniques Hybrides (SPECT/CT)
Les techniques hybrides, comme la SPECT/CT, ont changé la scintigraphie osseuse. Elles combinent l'imagerie fonctionnelle et anatomique pour mieux localiser les problèmes.
Les avantages des techniques hybrides incluent :
Une meilleure précision diagnostique grâce à la fusion des informations fonctionnelles et anatomiques.
Une amélioration de la planification thérapeutique et du suivi des traitements.
Intelligence Artificielle dans l'Interprétation
L'intelligence artificielle (IA) aide à mieux interpréter les images de scintigraphie osseuse. Les algorithmes d'IA détectent des anomalies subtiles que les humains pourraient manquer.
Les applications de l'IA dans la scintigraphie osseuse comprennent :
● L'analyse automatisée des images pour une détection précoce des anomalies.
● L'amélioration de la quantification des résultats pour un suivi plus précis de l'évolution des maladies.
En résumé, les innovations récentes en scintigraphie osseuse, comme les nouveaux traceurs, les techniques hybrides et l'IA, changent le diagnostic et le traitement des maladies osseuses.
Préparation et Précautions pour le Patient
Une bonne préparation est essentielle pour une scintigraphie osseuse réussie. Cela inclut des instructions pré-examen et des considérations pour certaines populations. Nous vous guiderons à travers les étapes nécessaires pour vous préparer à cet examen.
Instructions Pré-examen
Avant la scintigraphie osseuse, suivre certaines instructions est crucial. Cela assure la qualité et la précision des résultats. Voici quelques étapes à suivre :
● Informez votre médecin de tous les médicaments que vous prenez, y compris les suppléments vitaminiques et les produits à base de plantes.
● Signalez toute allergie ou réaction antérieure à des produits de contraste ou à des médicaments.
● Il n'est généralement pas nécessaire d'être à jeun, mais suivez les instructions spécifiques de votre centre de diagnostic.
Considérations pour Populations Spécifiques
Certaines populations nécessitent des considérations particulières pour la scintigraphie osseuse. Nous prenons en compte les besoins des patients suivants :
| Population Spécifique | Considérations |
| Femmes enceintes ou allaitantes | Informez votre médecin si vous êtes enceinte ou si vous allaitez. Cela peut influencer la dose et le moment de l'examen. |
| Enfants | La dose de traceur radioactif est ajustée selon l'âge et le poids de l'enfant pour réduire l'exposition aux radiations. |
| Patients avec insuffisance rénale | Les patients avec des problèmes rénaux doivent être évalués avec soin. Leur capacité à éliminer le traceur peut être affectée. |
Effets Secondaires Potentiels
Les scintigraphies osseuses sont généralement sûres, mais il existe des effets secondaires possibles :
● Réactions allergiques au traceur radioactif, bien que rares.
● Inconfort ou douleur au site d'injection.
● Exposition aux radiations, avec des doses minimisées pour réduire les risques.
Nous sommes là pour répondre à vos questions et vous assurer que vous êtes à l'aise. Discutez de vos préoccupations avec votre équipe soignante.
Conclusion : L'Avenir de la Scintigraphie Osseuse dans le Diagnostic Médical
La scintigraphie osseuse est un outil clé dans le diagnostic médical. Elle aide à trouver des problèmes comme le cancer, l'arthrite et les maladies métastatiques. Les progrès continus rendront cette technique encore plus précise et utile.
Nous avons vu comment la scintigraphie fonctionne, ses usages dans la médecine et les nouvelles idées qui l'améliorent. Cette méthode d'imagerie médicale est essentielle pour diagnostiquer et suivre de nombreuses maladies des os.
Le futur de la scintigraphie osseuse semble très prometteur. Les innovations comme les nouveaux traceurs radioactifs et les techniques hybrides, comme la SPECT/CT, promettent d'améliorer les diagnostics. Ces avancées aideront à mieux soigner les patients.
En bref, la scintigraphie osseuse restera un élément crucial dans le diagnostic médical. Elle fournit des infos essentielles sur les os et aide à prendre des décisions de traitement. Son avenir est brillant grâce aux avancées technologiques et aux recherches en cours.
FAQ
Qu'est-ce qu'une scintigraphie osseuse ?
C'est une technique d'imagerie médicale. Elle utilise un traceur radioactif pour voir les problèmes osseux. Cela inclut les cancers, les métastases et l'arthrite.
Quels sont les types de cancers osseux primaires détectables par scintigraphie osseuse ?
On peut détecter l'ostéosarcome, le chondrosarcome et le sarcome d'Ewing. Ces cancers sont des types primaires.
La scintigraphie osseuse peut-elle détecter l'arthrite ?
Oui, elle peut. Elle montre les signes de l'ostéoarthrite et de la polyarthrite rhumatoïde.
Quels sont les avantages de la scintigraphie osseuse par rapport à d'autres techniques d'imagerie ?
Elle est très sensible pour trouver les problèmes osseux. Cela inclut les métastases. Elle permet aussi de voir l'état global du squelette.
Quels sont les risques associés à la scintigraphie osseuse ?
Les risques incluent l'exposition aux radiations. Il y a aussi des effets secondaires possibles du traceur radioactif.
Comment se préparer à une scintigraphie osseuse ?
Il faut suivre des instructions. Cela inclut arrêter certains médicaments et boire beaucoup de liquides.
Qu'est-ce que la scintigraphie osseuse peut révéler sur les métastases osseuses ?
Elle montre les signes des métastases. Cela aide à savoir combien la maladie s'est étendue.
La scintigraphie osseuse est-elle douloureuse ?
Non, elle n'est pas douloureuse. Mais l'injection du traceur peut causer un peu de malaise.
Quels sont les résultats attendus d'une scintigraphie osseuse ?
Elle montre les problèmes osseux, comme les cancers ou l'arthrite. Cela aide les médecins à diagnostiquer et à planifier le traitement.
La scintigraphie osseuse est-elle utilisée pour surveiller les patients après un traitement contre le cancer ?
Oui, elle est utilisée pour surveiller les patients. Cela aide à détecter les récidives ou les métastases.
* Le contenu de notre site web est uniquement destiné à des fins d'information. Veuillez consulter votre médecin pour obtenir un diagnostic et un traitement. Le contenu de la page ne contient pas d'informations sur les services de santé thérapeutiques de l'hôpital Liv. .