Qu'est-ce qu'une Tumeur Cérébrale Bénigne et Comment Est-Elle Traitée?
-
Comprendre les Tumeurs Cérébrales Bénignes
-
Épidémiologie des Tumeurs Cérébrales Bénignes
-
Types Principaux de Tumeurs Cérébrales Bénignes
-
Symptômes et Manifestations Cliniques
-
Diagnostic des Néoplasmes Bénins du Cerveau
-
Options de Traitement des Tumeurs Cérébrales Bénignes
-
Récupération et Réadaptation Post-Traitement
-
Pronostic et Taux de Survie
-
Conclusion
-
FAQ
Apprendre qu'on a une tumeur cérébrale peut sembler terrifiant. Mais savoir que beaucoup de ces tumeurs sont bénignes et bien traitées apporte un espoir.
Une tumeur cérébrale bénigne est une croissance qui ne devient pas cancéreuse. Elle grandit lentement et ne se propage pas souvent. Cependant, ces tumeurs peuvent nécessiter une attention médicale, selon leur emplacement et taille.
Des hôpitaux comme Liv Hospital offrent des soins personnalisés. Ils utilisent des diagnostics avancés et des techniques chirurgicales modernes.
Points Clés à Retenir
● Les tumeurs cérébrales bénignes ne sont pas cancéreuses et ne se propagent pas.
● Les types courants incluent les méningiomes, les tumeurs pituitaires, les schwannomes et les chordomes.
● Ces tumeurs sont généralement à croissance lente et ont des frontières distinctes.
● La compréhension des différences entre les tumeurs cérébrales bénignes et malignes est cruciale pour un traitement efficace.
● Les options de traitement varient en fonction de l'emplacement et de la taille de la tumeur.
Comprendre les Tumeurs Cérébrales Bénignes

Il est important de connaître les tumeurs cérébrales bénignes. Elles se développent lentement et ne sont pas cancéreuses. Ces tumeurs sont des anomalies du cerveau.
Définition et Caractéristiques
Les tumeurs cérébrales bénignes sont des masses non cancéreuses. Elles se forment dans le cerveau. Elles sont encapsulées, ce qui signifie qu'elles sont circonscrites.
Cela les distingue des tumeurs malignes, qui sont invasives. Les tumeurs malignes peuvent se propager dans le cerveau ou dans le corps.
Les tumeurs bénignes peuvent causer des problèmes. Cela peut être dû à leur localisation et à leur croissance. Cette croissance peut comprimer ou déplacer les structures cérébrales.
Différences Entre Tumeurs Bénignes et Malignes
La distinction entre les tumeurs cérébrales bénignes et malignes est essentielle. Les tumeurs bénignes sont généralement à croissance lente et non cancéreuses. Les tumeurs malignes, elles, croissent rapidement et envahissent les tissus cérébraux.
Voici quelques différences clés :
● Les tumeurs bénignes sont encapsulées et ne métastasent pas.
● Les tumeurs malignes sont invasives et peuvent se propager.
● Les tumeurs bénignes ont généralement un pronostic plus favorable que les tumeurs malignes.
Épidémiologie des Tumeurs Cérébrales Bénignes

Comprendre les tumeurs cérébrales bénignes est crucial. Cela aide à connaître les risques et à prévenir ces maladies. Nous allons voir la fréquence mondiale de ces tumeurs et les risques associés.
Prévalence Mondiale
Chaque année, 6,2 personnes sur 100 000 développent une tumeur du cerveau. Ces tumeurs peuvent être bénignes ou malignes. La fréquence des tumeurs bénignes est difficile à préciser. Cela vient de la diversité des méthodes de diagnostic.
Les chiffres varient selon les études et les populations. Mais, il est clair que ces tumeurs touchent beaucoup de gens. Une bonne compréhension est essentielle pour les soigner.
Facteurs de Risque
Plusieurs risques ont été identifiés pour ces tumeurs. L'exposition aux radiations ionisantes est un grand risque. Les personnes exposées à des radiations ont un risque plus élevé.
Les conditions génétiques, comme la neurofibromatose de type 2, augmentent aussi le risque. Comprendre ces risques aide à détecter et gérer les tumeurs plus tôt.
Nous continuons d'étudier ces risques. Cela nous aide à mieux prévenir et traiter les tumeurs cérébrales bénignes.
Types Principaux de Tumeurs Cérébrales Bénignes
Comprendre les différentes tumeurs cérébrales bénignes est crucial pour choisir le bon traitement. Il existe plusieurs types principaux, chacun avec ses propres caractéristiques et traitements.
Méningiomes
Les méningiomes sont des tumeurs qui se forment dans les méninges, les membranes autour du cerveau et de la moelle épinière. Ils sont souvent découverts par hasard lors d'examens médicaux. La plupart des méningiomes sont bénins et peuvent être traités avec succès par chirurgie ou surveillance active.
Une étude a montré que les méningiomes représentent environ 30% des tumeurs cérébrales chez l'adulte.
« Les méningiomes sont généralement des tumeurs bénignes, mais leur localisation peut parfois causer des symptômes significatifs »
Cela souligne l'importance d'un bon diagnostic et traitement.
Neurinomes Acoustiques (Schwannomes Vestibulaires)
Les neurinomes acoustiques se développent sur le nerf vestibulaire, reliant l'oreille interne au cerveau. Ils peuvent causer des problèmes d'audition, des vertiges et des acouphènes. Le traitement peut inclure la surveillance, la chirurgie ou la radiothérapie stéréotaxique.
| Symptômes | Options de Traitement |
| Problèmes d'audition | Surveillance active |
| Vertiges | Chirurgie |
| Acouphènes | Radiothérapie stéréotaxique |
Adénomes Hypophysaires
Les adénomes hypophysaires se forment dans la glande pituitaire, à la base du cerveau. Ils peuvent affecter la production d'hormones et causer divers symptômes. Le traitement dépend du type d'adénome et peut inclure la chirurgie, les médicaments ou la radiothérapie.
Hémangioblastomes
Les hémangioblastomes sont des tumeurs rares qui se développent dans les vaisseaux sanguins du cerveau ou de la moelle épinière. Ils sont souvent liés à la maladie de von Hippel-Lindau. Le traitement implique généralement la chirurgie pour enlever la tumeur.
En résumé, identifier le type de tumeur cérébrale bénigne est crucial pour un traitement efficace. Chaque type a ses propres caractéristiques et nécessite une approche adaptée.
Symptômes et Manifestations Cliniques
Les symptômes des tumeurs cérébrales bénignes dépendent de leur emplacement. Il est crucial de les reconnaître pour un diagnostic rapide et un traitement efficace.
Symptômes Généraux
Les tumeurs cérébrales bénignes peuvent causer plusieurs symptômes. Voici quelques-uns d'eux :
● Maux de tête : Les céphalées sont courantes. Elles viennent de la pression de la tumeur sur le cerveau.
● Convulsions : Les crises épileptiques peuvent survenir. Cela est dû à l'irritation du tissu cérébral par la tumeur.
● Troubles cognitifs : Des problèmes de mémoire et de concentration sont possibles.
● Changements visuels : La vision peut être affectée. On peut voir des choses doubles ou perdre la vision périphérique.
Les symptômes varient selon la taille et la localisation de la tumeur.
Symptômes Spécifiques Selon la Localisation
La localisation de la tumeur cérébrale bénigne est importante. Elle détermine les symptômes spécifiques. Par exemple :
● Les tumeurs près des nerfs optiques peuvent causer des troubles visuels importants.
● Les tumeurs dans les régions motrices peuvent entraîner des faiblesses musculaires ou des paralysies.
● Les tumeurs affectant l'équilibre et la coordination peuvent causer des troubles de l'équilibre et des difficultés de marche.
Comprendre la relation entre la localisation de la tumeur et les symptômes est essentiel. Cela aide à un diagnostic précis et à un traitement adapté.
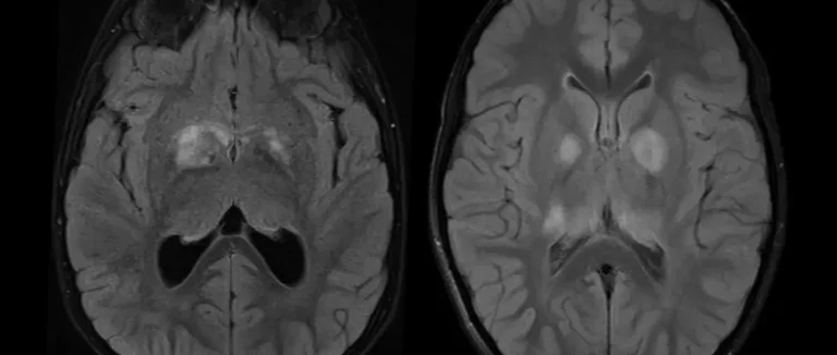
Diagnostic des Néoplasmes Bénins du Cerveau
Il est crucial de diagnostiquer précisément les néoplasmes bénins du cerveau. Cela aide à planifier un traitement efficace. Nous employons différentes méthodes pour identifier ces tumeurs.
Examens d'Imagerie Médicale
Les examens d'imagerie médicale sont essentiels pour diagnostiquer les tumeurs cérébrales bénignes. L'imagerie par résonance magnétique (IRM) et la tomodensitométrie (TDM) sont les plus utilisées.
L'IRM donne des images détaillées du cerveau. Cela permet de voir la taille, la forme et l'emplacement de la tumeur. La TDM aide à détecter les calcifications et les changements osseux liés à certaines tumeurs.
Biopsie et Analyse Histologique
Parfois, une biopsie est nécessaire pour un diagnostic précis. Cela implique de prélever un échantillon de tissu tumoral pour analyse histologique.
L'analyse histologique détermine le type et le grade de la tumeur. Ces informations sont essentielles pour planifier le traitement. Des pathologistes experts examinent les cellules tumorales pour identifier leurs caractéristiques.
Options de Traitement des Tumeurs Cérébrales Bénignes
Il existe plusieurs traitements pour les tumeurs cérébrales bénignes. Ces traitements varient selon le type, la taille et l'emplacement de la tumeur.
Notre équipe médicale examine chaque cas avec soin. On cherche le meilleur traitement pour enlever ou contrôler la tumeur sans nuire au cerveau.
Approche Chirurgicale
La chirurgie est souvent le premier choix pour traiter ces tumeurs. L'objectif est de retirer la tumeur entièrement si c'est possible, tout en protégeant le patient.
Les avancées en chirurgie, comme la chirurgie guidée par l'image, ont amélioré les résultats pour les patients.
Radiothérapie
La radiothérapie est une autre option. Elle utilise des rayons pour tuer les cellules tumorales. Elle est utilisée quand la chirurgie n'est pas possible ou si la tumeur est dans une zone sensible.
Il y a différents types de radiothérapie, comme la radiothérapie stéréotaxique. Ces méthodes permettent de cibler la tumeur avec précision.
Surveillance Active
Parfois, la surveillance active est recommandée. Cela signifie suivre la tumeur régulièrement avec des examens médicaux pour voir si elle change ou grandit.
Cette méthode est souvent choisie pour les tumeurs petites et sans symptômes. Elle est aussi utilisée quand les risques de chirurgie ou de radiothérapie sont trop grands.
En conclusion, le choix du traitement dépend de plusieurs facteurs. Ces facteurs incluent l'âge du patient, son état de santé et les caractéristiques de la tumeur.
Récupération et Réadaptation Post-Traitement
Après le traitement d'une tumeur cérébrale bénigne, la récupération est essentielle. Elle aide à retrouver une vie de qualité. Cette étape nécessite une approche globale pour affronter les défis physiques, cognitifs et émotionnels.
Processus de Récupération
La récupération après une tumeur cérébrale bénigne varie selon plusieurs facteurs. Une équipe de soins multidisciplinaire est cruciale dans ce processus.
Les patients peuvent avoir besoin de différentes thérapies. Ces thérapies aident à retrouver leurs capacités. Parmi elles, on trouve :
● La physiothérapie pour améliorer la force et la mobilité.
● L'ergothérapie pour aider à retrouver l'autonomie dans les tâches quotidiennes.
● L'orthophonie pour traiter les troubles de la parole et de la déglutition.
Thérapies de Réadaptation
Les thérapies de réadaptation sont vitales pour surmonter les déficits. Une réadaptation personnalisée s'adapte aux besoins de chaque patient.
Voici quelques exemples de thérapies de réadaptation :
Thérapie cognitive pour améliorer la mémoire et la concentration.
Thérapie physique pour réduire les limitations motrices.
Thérapie émotionnelle et soutien psychologique pour gérer le stress et l'anxiété.
En conclusion, la récupération et la réadaptation sont des étapes clés après le traitement d'une tumeur cérébrale bénigne. Une approche multidisciplinaire et personnalisée est cruciale pour améliorer la qualité de vie des patients.
Pronostic et Taux de Survie
Comprendre le pronostic des tumeurs cérébrales bénignes est crucial. Les avancées médicales et les traitements efficaces rendent le pronostic favorable.
Facteurs Influençant le Pronostic
Plusieurs facteurs influencent le pronostic des tumeurs cérébrales bénignes. La localisation de la tumeur est un facteur clé. Les tumeurs accessibles sont plus faciles à traiter.
La taille de la tumeur et son impact sur les structures cérébrales sont aussi importants. Le type histologique de la tumeur détermine également le pronostic. Par exemple, les méningiomes et les neurinomes acoustiques ont des pronostics différents.
Statistiques de Survie par Type de Tumeur
Les statistiques de survie varient selon le type de tumeur cérébrale bénigne. Les méningiomes ont un taux de survie à 5 ans souvent supérieur à 90%. Les neurinomes acoustiques ont un excellent pronostic, avec un taux de survie à 5 ans proche de 100% après traitement.
Il est important de noter que chaque patient est unique. Les statistiques ne reflètent pas nécessairement les résultats individuels. La consultation avec un spécialiste est essentielle pour obtenir des informations personnalisées sur le pronostic.
En résumé, le pronostic pour les tumeurs cérébrales bénignes est généralement bon. Les taux de survie élevés pour de nombreux types de tumeurs sont encouragants. Les avancées dans les traitements médicaux et chirurgicaux améliorent les résultats pour les patients.
Conclusion
Les tumeurs cérébrales bénignes sont un grand défi pour la santé. Mais, avec le bon traitement, beaucoup de patients ont de bons résultats. Les progrès dans le diagnostic et le traitement améliorent la prise en charge de ces tumeurs.
Les tumeurs cérébrales non cancéreuses touchent beaucoup de gens. Elles affectent la qualité de vie des patients. Les dernières nouvelles montrent que la recherche avance, offrant de nouvelles options de traitement.
Comprendre ces tumeurs aide patients et professionnels à travailler ensemble. Grâce à la médecine, de nombreux cas sont traités avec succès. Les nouvelles sur les tumeurs bénignes sont positives.
FAQ
Qu'est-ce qu'une tumeur cérébrale bénigne ?
Une tumeur cérébrale bénigne est une masse non cancéreuse dans le cerveau. Elle croît lentement et a des limites claires.
Quels sont les symptômes d'une tumeur cérébrale bénigne ?
Les symptômes dépendent de l'emplacement et de la taille de la tumeur. Ils peuvent être des maux de tête, des nausées, des troubles de la vision, des convulsions et des changements de comportement.
Comment diagnostique-t-on une tumeur cérébrale bénigne ?
Le diagnostic se fait avec des examens d'imagerie comme l'IRM. Il est suivi d'une biopsie et d'une analyse pour confirmer la nature bénigne.
Quels sont les traitements disponibles pour les tumeurs cérébrales bénignes ?
Les traitements incluent la chirurgie, la radiothérapie et la surveillance active. Le choix dépend de la tumeur et de l'état de santé du patient.
Qu'est-ce que la surveillance active pour une tumeur cérébrale bénigne ?
La surveillance active implique des examens d'imagerie réguliers. Cela permet de suivre la tumeur sans intervenir, surtout pour les petites tumeurs sans symptômes.
Les tumeurs cérébrales bénignes peuvent-elles être guéries ?
Oui, de nombreuses tumeurs cérébrales bénignes peuvent être guéries, souvent par chirurgie. Le succès dépend du type et de l'emplacement de la tumeur.
Quels sont les risques associés à la chirurgie pour une tumeur cérébrale bénigne ?
Les risques incluent l'infection, les saignements, et des dommages aux tissus cérébraux. Mais, la neurochirurgie a grandement réduit ces risques.
Quel est le pronostic pour les patients atteints d'une tumeur cérébrale bénigne ?
Le pronostic est souvent bon, avec de bons taux de survie. Le succès du traitement et la qualité des soins jouent un rôle important.
Puis-je prévenir une tumeur cérébrale bénigne ?
Il n'y a pas de moyen sûr de prévenir ces tumeurs. Mais, éviter les radiations et gérer les conditions génétiques peut réduire le risque.
Qu'est-ce que la réadaptation après le traitement d'une tumeur cérébrale bénigne ?
La réadaptation inclut des thérapies physiques et occupationnelles. Elles aident à récupérer et à gérer les déficits après le traitement.
* Le contenu de notre site web est uniquement destiné à des fins d'information. Veuillez consulter votre médecin pour obtenir un diagnostic et un traitement. Le contenu de la page ne contient pas d'informations sur les services de santé thérapeutiques de l'hôpital Liv. .