Un scanner cérébral permet-il de détecter les tumeurs cérébrales ? Ce qu’il faut savoir
-
Les bases des tumeurs cérébrales et leurs symptômes
-
Principes fondamentaux du scanner CT cérébral
-
Tumor brain CT scan: efficacité et précision diagnostique
-
Déroulement d'un examen CT pour détecter une tumeur cérébrale
-
Utilisation et importance des produits de contraste
-
Analyse et interprétation des images CT cérébrales
-
Scanner CT versus IRM pour le diagnostic tumoral cérébral
-
Limites du scanner CT dans la détection tumorale
-
Protocole de suivi après un scanner CT suspect
-
Innovations technologiques en imagerie CT cérébrale
-
Conclusion: Le rôle essentiel du scanner CT dans le parcours diagnostique
-
FAQ
Des symptômes neurologiques peuvent faire peur pour une tumeur cérébrale. La question est : un examen CT peut-il détecter une tumeur dans votre tête ? La réponse est oui. Mais savoir quand et comment utiliser l'examen CT est essentiel pour votre diagnostic.
Les examens CT sont très utiles pour trouver les tumeurs cérébrales. Ils ont une grande sensibilité et spécificité pour identifier ces tumeurs.
Nous allons voir le rôle des examens CT dans la détection des tumeurs cérébrales. Ils ont des avantages et des limites. Les examens CT utilisent des rayons X et un traitement informatique pour créer des images détaillées. Ces images montrent bien les anomalies dans le cerveau.
Points clés à retenir
● Les examens CT sont souvent utilisés comme outil de dépistage principal pour les patients suspectés de cancer du cerveau.
● Les examens CT offrent une grande précision diagnostique avec des taux de sensibilité supérieurs à 98%.
● Toutes les tumeurs ne sont pas également visibles sur ces images.
● Liv Hospital apporte une expertise fiable et centrée sur le patient pour le diagnostic des tumeurs cérébrales.
● La compréhension de quand et comment l'examen CT est le plus efficace est cruciale.
Les bases des tumeurs cérébrales et leurs symptômes

Les tumeurs cérébrales sont un groupe varié de lésions. Elles peuvent causer des douleurs de tête aux crises convulsives. Il est important de comprendre ces tumeurs et leurs symptômes pour identifier ceux qui doivent faire un CT scan cérébral.
Les tumeurs cérébrales se divisent en différents types. Chaque type a ses caractéristiques et son comportement. Cela aide à choisir le meilleur traitement et à connaître le pronostic.
Classification des tumeurs cérébrales courantes
Les tumeurs cérébrales peuvent être bénignes ou malignes. Les tumeurs bénignes, comme les méningiomes, sont souvent traitées par chirurgie ou surveillance. Les tumeurs malignes, comme les gliomes, nécessitent une approche plus agressive, incluant chirurgie, radiothérapie et chimiothérapie.
● Gliomes
● Méningiomes
● Neurinomes de l'acoustique
Les symptômes varient selon la localisation et la taille de la tumeur. Les symptômes courants incluent les douleurs de tête, les crises convulsives, et les troubles cognitifs.
Signes cliniques nécessitant une imagerie diagnostique
Des symptômes tels que des douleurs de tête sévères, des crises convulsives, ou des changements dans l'état mental nécessitent une imagerie diagnostique. Le CT scan cérébral est un outil précieux pour détecter les tumeurs cérébrales.
Nous utilisons le CT scan pour obtenir des images détaillées du cerveau. Cela nous aide à diagnostiquer et à planifier le traitement des tumeurs cérébrales. L'imagerie CT est très utile dans les situations d'urgence.
Principes fondamentaux du scanner CT cérébral

Le scanner CT cérébral utilise les rayons X pour créer des images détaillées du cerveau. C'est crucial pour diagnostiquer les tumeurs cérébrales.
Nous allons voir comment ça marche et comparer avec d'autres méthodes d'imagerie.
Technologie et fonctionnement de la tomodensitométrie
La tomodensitométrie, ou scanner CT, prend des radiographies de la tête du patient sous différents angles. Ces images sont ensuite combinées pour créer une image 3D du cerveau. Cela aide les médecins à voir les structures internes avec précision.
Le processus est rapide et peu douloureux. C'est pourquoi il est souvent choisi pour les urgences cérébrales.
Comparaison avec d'autres méthodes d'imagerie médicale
Le scanner CT et l'IRM sont deux méthodes pour détecter les tumeurs cérébrales. Chacune a ses avantages et limites.
| Caractéristiques | Scanner CT | IRM |
| Technologie utilisée | Rayons X | Champ magnétique et ondes radio |
| Rapidité de l'examen | Très rapide (quelques minutes) | Plus long (15-30 minutes) |
| Sensibilité aux tumeurs | Élevée, notamment pour les tumeurs calcifiées | Très élevée, meilleure pour les tissus mous |
| Utilisation de produit de contraste | Oui, souvent nécessaire | Oui, mais moins fréquent |
En conclusion, choisir entre le scanner CT et l'IRM dépend de plusieurs critères. Cela inclut la nature de la condition et les besoins du patient.
Tumor brain CT scan: efficacité et précision diagnostique
Les CT scans sont très bons pour trouver les tumeurs cérébrales. Ils sont très précis. Cela aide beaucoup à choisir le meilleur traitement pour les patients.
Taux de sensibilité de 98,5% dans la détection des tumeurs
Les études montrent que les CT scans détectent 98,5% des tumeurs cérébrales. Cela veut dire que sur 100 patients avec une tumeur, 98,5 seront bien diagnostiqués. Les CT scans montrent bien le cerveau, même les petites anomalies.
Les avantages de cette sensibilité élevée sont nombreux :
● On trouve les tumeurs plus tôt, ce qui augmente les chances de guérison
● On réduit le risque de dire que personne n'a de tumeur quand en fait, c'est le cas
● On peut mieux planifier le traitement grâce à des images précises
Spécificité de 98,4% pour identifier les anomalies intracrâniennes
Les CT scans sont aussi très bons pour dire si il y a des anomalies dans le cerveau. Ils ont une spécificité de 98,4%. Cela signifie que sur 100 personnes sans tumeur, 98,4 seront correctement identifiées. Cela aide à éviter les traitements inutiles et à réduire l'anxiété des patients.
En bref, les CT scans sont très fiables pour trouver les tumeurs cérébrales. Ils sont très bons pour détecter les tumeurs. C'est très important pour le traitement des patients suspects de tumeur cérébrale.
Déroulement d'un examen CT pour détecter une tumeur cérébrale
L'examen CT est crucial pour détecter une tumeur cérébrale. Nous allons vous expliquer les étapes importantes de cette procédure.
Préparation du patient avant l'examen
Avant de faire un examen CT, il faut bien se préparer. Voici quelques étapes clés :
● Informez votre médecin de tout médicament que vous prenez, en particulier ceux qui contiennent du métal.
● Signalez toute allergie, notamment aux produits de contraste iodés.
● Enlevez tous les objets métalliques, tels que les bijoux, les lunettes et les dentiers amovibles.
Le jour de l'examen, vous devrez peut-être être à jeun. Suivez les instructions de votre médecin. Portez des vêtements confortables et faciles à enlever.
Expérience pendant la procédure de scan
Pendant l'examen CT, vous serez allongé sur une table qui se déplace. Il est crucial de rester immobile pour obtenir des images claires. Voici à quoi vous pouvez vous attendre :
La table glissera dans le scanner CT, qui effectuera une série de rotations autour de votre tête.
Vous entendrez peut-être un bruit de claquement ou de bourdonnement pendant que le scanner fonctionne.
Dans certains cas, un produit de contraste peut être injecté pour améliorer la visibilité des structures cérébrales.
L'examen lui-même est généralement rapide, durant environ 10 à 30 minutes. Notre équipe médicale sera présente pour vous guider et vous rassurer.
En comprenant mieux le déroulement d'un examen CT pour détecter une tumeur cérébrale, vous serez mieux préparé. Si vous avez des questions ou des préoccupations, n'hésitez pas à les discuter avec votre médecin.
Utilisation et importance des produits de contraste
Les produits de contraste jouent un rôle clé dans l'amélioration de la précision des diagnostics CT. Ils aident à mieux voir les tumeurs cérébrales. On va voir comment ils améliorent la visualisation des tumeurs et leur accumulation autour des cellules cancéreuses.
Comment le produit de contraste améliore la visualisation tumorale
Avant un examen CT, on injecte un produit de contraste dans le patient. Ce produit réagit aux rayons X, ce qui améliore le contraste entre les structures corporelles. Cela aide les radiologues à mieux voir les tumeurs par rapport aux tissus sains. C'est crucial pour les tumeurs cérébrales, où la précision est essentielle pour le traitement.
Accumulation du produit autour des cellules cancéreuses
Le produit de contraste se répartit dans le corps et s'accumule autour des cellules cancéreuses. Cette accumulation rend les tumeurs plus visibles sur les images CT. Cela aide à détecter et caractériser les tumeurs plus facilement.
En bref, les produits de contraste sont cruciaux pour détecter les tumeurs cérébrales. Ils s'accumulent autour des cellules cancéreuses, améliorant la précision des diagnostics. Cela permet aux médecins de proposer des traitements plus adaptés.
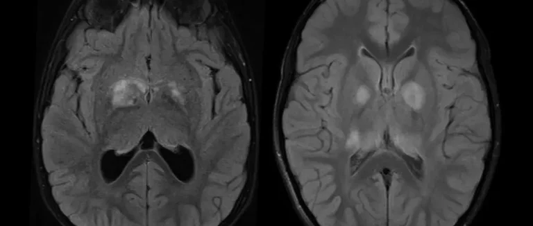
Analyse et interprétation des images CT cérébrales
L'analyse des images CT cérébrales est essentielle pour diagnostiquer les tumeurs. Les radiologues examinent ces images pour repérer les signes des tumeurs.
Caractéristiques radiologiques des tumeurs sur les images CT
Les tumeurs cérébrales ont des traits uniques sur les images CT. La taille, la forme, la localisation et la densité sont très importants. Par exemple, certaines tumeurs semblent plus claires ou plus foncées que le cerveau autour.
Les tumeurs malignes ont souvent des contours déformés. Elles peuvent montrer une prise de contraste inégale après l'injection de produit de contraste. Ces signes aident à savoir si la tumeur est maligne.
Différenciation entre tumeurs et autres pathologies cérébrales
Il est difficile de distinguer les tumeurs des autres maladies cérébrales. Les radiologues doivent examiner plusieurs conditions comme les abcès et les kystes. Une analyse détaillée des caractéristiques et de la prise de contraste est cruciale pour faire la différence.
"L'interprétation précise des images CT cérébrales nécessite une compréhension approfondie de l'anatomie cérébrale et des caractéristiques des différentes pathologies."
En conclusion, l'analyse des images CT cérébrales est très importante pour diagnostiquer les tumeurs. Une analyse précise aide à choisir le bon traitement et à améliorer les résultats pour les patients.
Scanner CT versus IRM pour le diagnostic tumoral cérébral
Le choix entre le scanner CT et l'IRM est essentiel pour diagnostiquer les tumeurs cérébrales. Chacun apporte des infos précieuses mais avec des limites. Il est important de comprendre ces différences.
Avantages comparatifs de chaque modalité d'imagerie
Le scanner CT est excellent pour trouver les calcifications et les lésions osseuses. C'est souvent le cas chez certaines tumeurs cérébrales. Il est aussi plus rapide, ce qui est parfait pour ceux qui ne peuvent pas rester immobiles.
L'IRM, elle, offre une meilleure vision des tissus mous. Elle est très utile pour voir les détails de la tumeur et comment elle affecte le cerveau autour d'elle.
Situations cliniques où le CT est préféré à l'IRM
Le scanner CT est souvent choisi pour certains cas. Par exemple, après un traumatisme crânien, le CT est rapide et peut détecter les hémorragies et fractures.
Le CT est aussi plus accessible et moins cher que l'IRM. Cela rend le CT une option pour ceux qui ne peuvent pas se payer l'IRM.
En conclusion, choisir entre le CT et l'IRM dépend de plusieurs choses. La nature de la tumeur, l'état du patient, et les ressources disponibles sont des facteurs clés. Les deux sont essentiels pour diagnostiquer les tumeurs cérébrales. Utiliser le bon outil peut améliorer le diagnostic et le traitement.
Limites du scanner CT dans la détection tumorale
Les scanners CT ont des limites pour certaines tumeurs cérébrales. Cela vient de leur localisation ou de leurs caractéristiques. Il est important de connaître ces limites pour mieux diagnostiquer.
Tumeurs difficiles à visualiser
Certaines tumeurs cérébrales sont difficiles à voir avec un scanner CT. Les tumeurs près de la base du crâne ou dans les zones postérieures sont particulièrement difficiles.
Les tumeurs infiltrantes, qui se mélangent avec le tissu cérébral, sont aussi difficiles à détecter. Il faut souvent d'autres méthodes d'imagerie pour un diagnostic précis.
Facteurs anatomiques influençant la qualité diagnostique
Les structures osseuses autour peuvent affecter la qualité des images CT. Les artefacts de durcissement du faisceau se produisent près des interfaces os-tissu mou, rendant les images moins claires.
La proximité avec des structures vasculaires importantes complique aussi l'interprétation. Utiliser des produits de contraste peut aider, mais ne résout pas tous les problèmes.
En conclusion, bien que les scanners CT soient utiles, il faut connaître leurs limites. Savoir ces limites aide les professionnels de la santé à choisir la meilleure méthode d'imagerie pour chaque cas.
Protocole de suivi après un scanner CT suspect
Après un scanner CT suspect, il est crucial de suivre les étapes suivantes. Cela aide à diagnostiquer et traiter les tumeurs cérébrales. Si le scanner montre des anomalies, il faut savoir ce que c'est pour bien choisir le traitement.
Examens complémentaires recommandés
Des tests supplémentaires sont souvent nécessaires après un scanner suspect. L'imagerie par résonance magnétique (IRM) est souvent utilisée. Elle montre mieux les tissus du cerveau. L'IRM aide à savoir si c'est une tumeur ou autre chose.
Parfois, une biopsie est conseillée. Cela permet d'analyser un échantillon de tissu. C'est essentiel pour connaître le type et la gravité de la tumeur.
Calendrier et fréquence des contrôles d'imagerie
Le suivi d'imagerie dépend de plusieurs choses. Cela inclut le type de tumeur, sa taille et sa localisation. L'état général du patient compte aussi.
Les patients avec des tumeurs cérébrales ont besoin de suivis réguliers. Cela aide à surveiller la tumeur et à voir si le traitement marche. Les contrôles d'imagerie réguliers aident aussi à détecter des changements ou complications tôt.
En conclusion, le suivi après un scanner CT suspect est important. Il implique des tests supplémentaires et un suivi régulier. Cela assure une meilleure prise en charge des patients.
Innovations technologiques en imagerie CT cérébrale
Les nouvelles technologies en imagerie CT cérébrale ont changé la façon de détecter les tumeurs cérébrales. Elles améliorent les capacités de diagnostic grâce à des avancées technologiques importantes.
Avancées récentes améliorant la détection tumorale
Les dernières innovations en imagerie CT cérébrale ont grandement amélioré la détection des tumeurs. La tomodensitométrie à double énergie est une avancée clé. Elle permet de mieux voir les tissus mous et les structures vasculaires.
L'intelligence artificielle (IA) et l'apprentissage automatique dans l'analyse des images CT montrent des résultats prometteurs. Ces technologies aident à repérer des anomalies subtiles qui pourraient échapper à l'œil humain.
Technologies émergentes et recherches en cours
Des technologies comme la tomodensitométrie spectrale et la reconstruction itérative améliorée avancent le domaine. La tomodensitométrie spectrale permet une caractérisation plus précise des matériaux et des tissus. Cela aide à mieux différencier les tumeurs d'autres lésions.
Les recherches actuelles visent aussi à améliorer la qualité de l'image et à réduire la dose de rayonnement. Ces progrès sont essentiels pour les patients qui doivent subir des examens répétés pour suivre leur tumeur.
En conclusion, les innovations technologiques en imagerie CT cérébrale améliorent notre capacité à détecter et caractériser les tumeurs cérébrales. Nous pouvons s'attendre à de nouveaux développements passionnants. Ces avancées bénéficieront aux patients avec un diagnostic plus précis et un traitement plus efficace.
Conclusion: Le rôle essentiel du scanner CT dans le parcours diagnostique
Les scanners CT sont essentiels pour diagnostiquer les tumeurs cérébrales. Ils offrent une grande sensibilité et spécificité. Leur rôle, avantages et limites sont cruciaux dans le soin des patients.
Un scan CT du cerveau est un outil précieux. Il aide à détecter les anomalies cérébrales. Cela guide les décisions de traitement.
Si un CT scan peut montrer des tumeurs cérébrales, la réponse est oui. Les CT scans détectent les tumeurs cérébrales avec précision. Cela en fait un élément clé du diagnostic.
Comprendre les capacités et limites de la technologie aide les professionnels. Ils peuvent offrir des soins plus efficaces et adaptés.
L'utilisation du CT scan dans le diagnostic des tumeurs cérébrales est une avancée majeure. Elle permet une détection précoce et un traitement adapté. Cela améliore les résultats pour les patients.
FAQ
Un scanner CT peut-il détecter une tumeur cérébrale ?
Oui, les scanners CT sont très utiles pour trouver les tumeurs cérébrales. Ils combinent les rayons X et l'informatique pour créer des images détaillées. Ces images montrent bien les anomalies dans le cerveau.
Quels sont les avantages de l'utilisation d'un scanner CT pour détecter les tumeurs cérébrales ?
Les scanners CT sont très précis et sensibles. Ils sont donc un bon premier pas pour trouver le cancer du cerveau. De plus, ils sont rapides et faciles à trouver.
Comment fonctionne un scanner CT pour détecter les tumeurs cérébrales ?
Un scanner CT prend des radiographies de la tête du patient de plusieurs côtés. Ces images sont ensuite mises ensemble pour créer une image 3D. Cela aide à voir les tumeurs et autres problèmes dans le cerveau.
Quelle est la différence entre un scanner CT et une IRM pour le diagnostic des tumeurs cérébrales ?
Les scanners CT sont rapides et bons pour voir les calcifications. Les IRM, elles, sont meilleures pour voir les tissus mous et les lésions petites. Chacun a ses avantages.
Quels sont les limites du scanner CT dans la détection des tumeurs cérébrales ?
Les scanners CT peuvent ne pas voir toutes les tumeurs, surtout les petites ou de faible densité. Les os et d'autres facteurs anatomiques peuvent aussi affecter la qualité des images.
Qu'est-ce qu'un produit de contraste et comment améliore-t-il la détection des tumeurs cérébrales ?
Un produit de contraste aide à voir les tumeurs sur les images CT. Il s'accumule autour des cellules cancéreuses, rendant les tumeurs plus visibles. Cela aide à mieux diagnostiquer et à différencier les tumeurs des autres problèmes.
Quels sont les protocoles de suivi après un scanner CT suspect ?
Après un scanner CT suspect, d'autres tests peuvent être nécessaires. Cela inclut l'IRM ou la biopsie. La fréquence des tests dépend de chaque cas.
Quelles sont les innovations technologiques récentes en imagerie CT cérébrale ?
Il y a des avancées récentes comme une meilleure résolution et moins de rayons X. L'intelligence artificielle est aussi en développement pour améliorer la détection des tumeurs.
Un scanner CT peut-il détecter tous les types de tumeurs cérébrales ?
Non, les scanners CT ne voient pas toutes les tumeurs, surtout les petites ou de faible densité. D'autres méthodes comme l'IRM sont parfois nécessaires pour une évaluation complète.
* Le contenu de notre site web est uniquement destiné à des fins d'information. Veuillez consulter votre médecin pour obtenir un diagnostic et un traitement. Le contenu de la page ne contient pas d'informations sur les services de santé thérapeutiques de l'hôpital Liv. .