Un scanner cérébral permet-il de détecter les tumeurs cérébrales ? Ce qu’il faut savoir
-
Les Bases des Tumeurs Cérébrales
-
Principes Fondamentaux du CT Scan Head Tumor
-
Capacité des CT Scans à Détecter les Tumeurs Cérébrales
-
Le Processus d'Examen par CT Scan
-
CT Scan avec Produit de Contraste vs. Sans Contraste
-
Comparaison Entre CT Scan et IRM pour les Tumeurs Cérébrales
-
Types de Tumeurs Cérébrales Difficiles à Détecter par CT Scan
-
Indications Médicales pour un CT Scan Cérébral
-
Technologies Complémentaires et Alternatives
-
Considérations Pratiques pour les Patients
-
Innovations Récentes dans l'Imagerie des Tumeurs Cérébrales
-
Conclusion
-
FAQ
-
References

Si vous ou quelqu'un de votre entourage a des symptômes neurologiques, il est important de savoir comment diagnostiquer. Les examens TDM sont essentiels pour trouver les tumeurs cérébrales. Ils donnent des résultats précis et rapides, cruciaux pour le diagnostic et le traitement.
Nous allons voir pourquoi les examens TDM sont utiles pour trouver les tumeurs cérébrales. Ils sont souvent le premier choix pour voir les problèmes cérébraux. Ils sont rapides et facilement accessibles, ce qui les rend très utiles pour les médecins.
Points clés à retenir
● Les examens TDM sont efficaces pour détecter les tumeurs cérébrales.
● Ils sont souvent utilisés comme première ligne d'imagerie pour identifier les anomalies cérébrales.
● Les résultats des examens TDM sont rapides et détaillés.
● Ces examens sont largement disponibles et précieux pour les médecins.
● Ils aident à planifier le traitement des tumeurs cérébrales.
Les Bases des Tumeurs Cérébrales

Les tumeurs cérébrales sont des anomalies complexes. Elles nécessitent une compréhension approfondie pour un diagnostic et un traitement efficaces. Ces tumeurs peuvent être bénignes ou malignes. Leur impact sur la santé dépend de plusieurs facteurs, notamment leur localisation et leur vitesse de croissance.
Incidence et Prévalence aux États-Unis
Selon les données épidémiologiques, l'incidence des tumeurs cérébrales aux États-Unis est d'environ 25,34 cas pour 100 000 habitants. Cette statistique souligne l'importance de la sensibilisation et de la recherche continue dans ce domaine. Les tumeurs cérébrales affectent des personnes de tous âges, mais certaines tranches d'âge sont plus touchées que d'autres.
Symptômes Courants des Tumeurs Cérébrales
Les symptômes des tumeurs cérébrales varient en fonction de la localisation et de la taille de la tumeur. Les symptômes courants comprennent les maux de tête, les nausées, les vomissements, les convulsions et les changements cognitifs ou comportementaux. Si vous ou quelqu'un que vous connaissez présentez ces symptômes, il est crucial de consulter un professionnel de la santé pour une évaluation approfondie.
Importance du Diagnostic Précoce
Un diagnostic précoce est essentiel pour le traitement efficace des tumeurs cérébrales. Lorsque les médecins suspectent une tumeur cérébrale, ils examinent les antécédents médicaux du patient, se concentrant sur les symptômes et leur date de début. Un diagnostic rapide peut améliorer considérablement les options de traitement et les résultats pour les patients.
Principes Fondamentaux du CT Scan Head Tumor

Comprendre comment les CT scans détectent les tumeurs cérébrales nécessite de connaître les bases de cette technologie. Les CT scans utilisent des rayons X pour créer des images détaillées de l'intérieur du corps, notamment du cerveau.
Technologie de Tomodensitométrie Expliquée
La tomodensitométrie, ou CT scan, est une technique d'imagerie médicale. Elle combine rayons X et traitement informatique pour créer des images en coupe du corps. Cette technologie permet de voir en détail les structures internes complexes, comme le cerveau.
Un CT scan fonctionne en tournant autour du patient. Il émet des rayons X captés par des détecteurs. Ces données sont ensuite traitées par un ordinateur pour créer des images en coupe.
Comment les Rayons X Créent des Images en Coupe
Les rayons X sont émis à travers le corps sous différents angles lors d'un examen CT. Les détecteurs captent ces rayons et les données sont envoyées à un ordinateur. L'ordinateur reconstruit des images en coupe du corps, permettant de visualiser les structures internes avec précision.
Cette technologie aide à détecter les anomalies, comme les tumeurs cérébrales. Elle fournit des images détaillées qui aident les médecins à diagnostiquer précisément.
Différence Entre CT Scan et Radiographie Conventionnelle
La principale différence entre un CT scan et une radiographie conventionnelle est la capacité du CT scan à fournir des images en coupe. Les radiographies conventionnelles donnent des images 2D, tandis que les CT scans produisent des images 3D. Cela permet une visualisation plus précise des structures internes.
Voici un tableau comparatif entre les CT scans et les radiographies conventionnelles :
| Caractéristiques | CT Scan | Radiographie Conventionnelle |
| Type d'Images | Images en coupe 3D | Images 2D |
| Technologie Utilisée | Rayons X avec traitement informatique | Rayons X |
| Précision Diagnostique | Élevée pour les structures complexes | Limitée pour les structures complexes |
En résumé, les CT scans offrent une visualisation plus détaillée et précise des structures internes. C'est très utile pour diagnostiquer les tumeurs cérébrales.
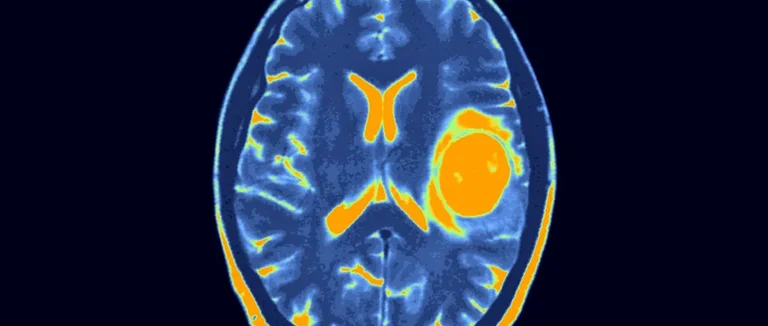
Capacité des CT Scans à Détecter les Tumeurs Cérébrales
Les CT scans peuvent détecter certaines tumeurs cérébrales. Mais, ils ont des limites dans leur précision diagnostique.
Types de Tumeurs Facilement Détectables
Les CT scans sont bons pour les tumeurs de grande taille. Ils sont aussi utiles pour les tumeurs avec des caractéristiques uniques comme des calcifications. Les tumeurs malignes grandes sont souvent plus faciles à voir grâce à leur taille et leur impact sur les alentours.
Les méningiomes, gliomes de haut grade et métastases cérébrales sont souvent visibles. Ces tumeurs sont plus visibles en raison de leur taille, de leur emplacement ou de leur contraste avec les tissus cérébraux.
Précision Diagnostique des CT Scans
La précision des CT scans pour les tumeurs cérébrales dépend de plusieurs facteurs. La taille, l'emplacement de la tumeur et la qualité de l'équipement sont importants. Les CT scans modernes avec des détecteurs multiples offrent une meilleure résolution et une plus grande précision.
La précision peut être affectée par des artefacts. Ces artefacts peuvent provenir du mouvement du patient ou de matériel métallique dans la tête ou le cou. Il est crucial de suivre les instructions de préparation pour minimiser ces artefacts.
Limites de Détection
Les CT scans ont des limites dans la détection des tumeurs cérébrales. Les petites tumeurs ou celles dans des zones complexes peuvent être difficiles à détecter. De plus, certaines tumeurs de bas grade peuvent ne pas être visibles sur un CT scan.
Dans ces cas, d'autres méthodes d'imagerie comme l'IRM peuvent être nécessaires. L'utilisation de différentes modalités d'imagerie peut améliorer la détection et la caractérisation des tumeurs cérébrales.
Le Processus d'Examen par CT Scan
Comprendre le diagnostic des tumeurs cérébrales par CT scan est crucial. Cette méthode médicale nécessite plusieurs étapes importantes pour obtenir des images claires du cerveau.
Préparation du Patient
Avant le CT scan, les patients reçoivent des instructions précises. Il est demandé de retirer tout objet métallique, comme bijoux et lunettes, pour éviter les interférences. Les vêtements confortables sans métal sont aussi conseillés.
Parfois, un produit de contraste est utilisé pour mieux voir les structures cérébrales. Ce produit est injecté par voie intraveineuse et met en évidence les anomalies.
Déroulement de la Procédure
Le patient est allongé sur une table qui se déplace dans le scanner. Il est essentiel de rester immobile pour obtenir des images claires. Le technicien contrôle le scanner depuis une autre pièce et parle avec le patient.
La table se déplace lentement, et des rayons X sont émis pour prendre des images du cerveau. Le processus est généralement sans douleur et prend quelques minutes.
Durée et Expérience du Patient
Le temps total de l'examen est d'environ 30 minutes, mais le scan lui-même ne prend que 10 à 15 minutes. Les patients peuvent sentir une sensation de claustrophobie mais les scanners modernes aident à réduire cet effet.
Après l'examen, les images sont examinées par un radiologue. Il prépare un rapport pour le médecin. Les résultats dépendent de la complexité du cas et de la disponibilité du personnel.
CT Scan avec Produit de Contraste vs. Sans Contraste
Utiliser un produit de contraste lors d'un CT scan peut changer beaucoup. Ce produit aide à voir mieux certaines zones du corps. C'est très utile pour détecter les tumeurs cérébrales.
Amélioration de la Visualisation grâce au Produit de Contraste
Le produit de contraste rend les tumeurs cérébrales plus visibles. Il augmente le contraste entre les différentes parties du cerveau. Ainsi, les radiologues peuvent mieux voir les tumeurs par rapport aux tissus sains.
Voici comment le produit de contraste aide :
● Il rend les contours des tumeurs plus nets.
● Il montre les zones de nécrose ou de vascularisation anormale dans les tumeurs.
● Il aide à trouver les métastases cérébrales qui ne sont pas visibles sans contraste.
Accumulation du Produit de Contraste autour des Cellules Cancéreuses
Le produit de contraste s'accumule autour des cellules cancéreuses. Cela se passe parce que la barrière hémato-encéphalique se rompt et les tumeurs sont trop vascularisées. Cette accumulation rend les tumeurs plus visibles lors du CT scan.
Risques et Effets Secondaires Potentiels
Même si le produit de contraste est généralement sûr, il y a des risques et effets secondaires possibles :
Réactions allergiques au produit de contraste.
Problèmes rénaux chez les patients avec des fonctions rénales altérées.
Naissance ou aggravation de problèmes thyroïdiens.
Parler de ces risques avec votre médecin est crucial avant un CT scan avec produit de contraste.
Comparaison Entre CT Scan et IRM pour les Tumeurs Cérébrales
Deux méthodes d'imagerie médicale sont souvent comparées pour détecter les tumeurs cérébrales : le CT scan et l'IRM. Elles offrent des informations précieuses mais de manière différente. Le CT scan et l'IRM ont des approches uniques pour visualiser le cerveau et détecter les anomalies.
Avantages et Inconvénients de Chaque Méthode
Le CT scan utilise des rayons X pour créer des images détaillées du cerveau. C'est très utile en cas d'urgence ou pour voir les calcifications. Mais, il ne montre pas aussi bien les tissus mous que l'IRM.
L'IRM, elle, utilise des champs magnétiques et des ondes radio pour des images de haute qualité. Elle est très efficace pour voir les tumeurs cérébrales et comment elles se situent par rapport aux autres structures.
| Caractéristiques | CT Scan | IRM |
| Technologie Utilisée | Rayons X | Champs magnétiques et ondes radio |
| Résolution pour les Tissus Mous | Limitée | Élevée |
| Utilisation en Situation d'Urgence | Fréquente | Moins fréquente |
| Détection des Calcifications | Excellente | Limitée |
Quand l'IRM est Préférable au CT Scan
L'IRM est souvent préférée pour voir les tumeurs cérébrales. C'est parce qu'elle montre bien les tissus mous. Elle aide beaucoup à planifier les opérations chirurgicales et à suivre les tumeurs pendant le traitement.
Situations où le CT Scan est l'Option Optimale
Le CT scan est le meilleur choix en cas d'urgence. C'est le cas pour les traumatismes crâniens ou les suspicions d'hémorragie cérébrale. Il est aussi bon pour trouver les calcifications dans les tumeurs.
En résumé, choisir entre le CT scan et l'IRM dépend de plusieurs choses. Cela inclut la situation clinique, la nécessité de détails sur les tissus mous, et la présence de calcifications. Comprendre les avantages et les limites de chaque méthode est crucial pour bien soigner les patients.
Types de Tumeurs Cérébrales Difficiles à Détecter par CT Scan
Le CT scan a des limites pour certaines tumeurs cérébrales. Il est parfois difficile de les détecter. Il faut bien comprendre les différents types de tumeurs et leurs caractéristiques.
Tumeurs de Bas Grade et Petites Lésions
Les tumeurs de bas grade sont souvent moins agressives. Elles peuvent être difficiles à détecter sur un CT scan. Les petites lésions peuvent aussi être difficiles à voir.
"Certaines petites tumeurs pourraient ne pas apparaître clairement sur un CT scan." Si les symptômes persistent malgré un CT scan normal, une IRM peut être recommandée.
Tumeurs dans des Zones Anatomiques Complexes
Les tumeurs dans des zones complexes du cerveau sont difficiles à détecter. La complexité de ces zones rend l'interprétation des images CT scan plus difficile.
Cas Nécessitant des Méthodes d'Imagerie Supplémentaires
Si le CT scan ne donne pas de résultats clairs, des méthodes supplémentaires sont nécessaires. L'IRM ou la TEP peuvent fournir des informations complémentaires. Ces technologies aident à obtenir un diagnostic précis.
En résumé, le CT scan est utile pour détecter les tumeurs cérébrales. Mais certaines restent difficiles à détecter. Une approche multidisciplinaire, incluant différentes modalités d'imagerie, est souvent nécessaire pour un diagnostic et un traitement adéquats.
Indications Médicales pour un CT Scan Cérébral
Les raisons pour faire un CT scan cérébral sont diverses. Elles dépendent des symptômes du patient. Ce scan aide les médecins à voir des problèmes dans le cerveau.
Symptômes Neurologiques Nécessitant une Investigation
Des symptômes neurologiques nécessitent une étude approfondie. Un CT scan est conseillé pour des maux de tête sévères, une vision trouble, des convulsions ou une confusion mentale. Ces signes peuvent montrer des problèmes graves comme des tumeurs ou des hémorragies.
Utilisation en Situation d'Urgence
En cas d'urgence, un CT scan cérébral aide à évaluer rapidement. Il est utilisé pour les patients ayant un traumatisme crânien ou des symptômes neurologiques aigus. Cela permet aux médecins de traiter rapidement les conditions dangereuses.
Suivi des Tumeurs Connues
Les patients avec des tumeurs cérébrales utilisent le CT scan pour le suivi. Les médecins ajustent le traitement selon les changements de la tumeur. Cela aide à suivre la maladie et à voir si le traitement marche.
En bref, le CT scan cérébral est très utile. Il aide à diagnostiquer et à suivre les conditions neurologiques. Sa capacité à montrer le cerveau en détail est essentielle dans la médecine moderne.
Technologies Complémentaires et Alternatives
Les médecins utilisent plusieurs technologies pour diagnostiquer les tumeurs cérébrales. Parmi elles, les PET scans et l'angiographie cérébrale sont essentielles. Elles aident à mieux comprendre et traiter les tumeurs.
PET Scan et Imagerie Fonctionnelle
Les PET scans utilisent un traceur radioactif pour détecter les tumeurs. Ce traceur s'accumule dans les cellules tumorales. Cela aide à savoir si une zone anormale est une tumeur.
Un PET scan est très utile pour voir si une tumeur répond bien au traitement. Il aide aussi à trouver les tumeurs à haut et bas grade.
Angiographie Cérébrale
L'angiographie cérébrale montre les vaisseaux sanguins du cerveau. Elle est cruciale pour voir comment les tumeurs sont vascularisées. Cela aide à planifier les opérations chirurgicales.
Il existe plusieurs méthodes pour réaliser cette imagerie. L'angiographie par soustraction digitale et l'angiographie par résonance magnétique sont les plus courantes. Elle donne des infos importantes sur la tumeur et les vaisseaux.
Biopsie et Confirmation Histologique
La biopsie est la méthode la plus fiable pour diagnostiquer les tumeurs cérébrales. Elle consiste à prendre un échantillon de tissu tumoral pour analyse.
Cette analyse permet de connaître le type, le grade et les caractéristiques moléculaires de la tumeur. C'est crucial pour choisir le meilleur traitement. Les méthodes de biopsie varient selon la tumeur et son emplacement.
| Technologie | Description | Avantages |
| PET Scan | Imagerie fonctionnelle utilisant un traceur radioactif | Évalue l'activité métabolique des tumeurs, détecte les récidives précoces |
| Angiographie Cérébrale | Visualisation des vaisseaux sanguins du cerveau | Évalue la vascularisation des tumeurs, planifie les interventions chirurgicales |
| Biopsie | Prélèvement d'un échantillon de tissu tumoral | Diagnostic définitif, détermination du type et du grade de la tumeur |
Considérations Pratiques pour les Patients
Un CT scan pour les tumeurs cérébrales demande une préparation et une compréhension des coûts. Il est important de discuter avec votre équipe de soins de santé. Cela inclut vos options et vos préoccupations.
Coût et Couverture d'Assurance aux États-Unis
Le coût d'un CT scan varie aux États-Unis. Des facteurs comme la localisation et l'utilisation d'un produit de contraste jouent un rôle. Vérifiez bien votre couverture d'assurance pour savoir ce qui est couvert.
| Élément de Coût | Description | Couverture d'Assurance Typique |
| Examen CT scan de base | Examen standard sans produit de contraste | 80% après franchise |
| Produit de contraste | Produit utilisé pour améliorer la visualisation | 70% après franchise |
| Frais de radiologue | Honoraires pour l'interprétation de l'examen | 80% après franchise |
Il est crucial de contacter votre assureur pour comprendre les détails spécifiques de votre couverture.
Questions Importantes à Poser à Votre Médecin
Avant un CT scan, posez des questions à votre médecin. Cela vous prépare bien à l'examen. Voici des questions clés :
● Pourquoi un CT scan est-il nécessaire pour mon diagnostic ?
● Quels sont les risques associés à l'examen ?
● Comment dois-je me préparer à l'examen ?
● Quels sont les résultats attendus et comment seront-ils communiqués ?
Préparation à Votre Rendez-vous
Pour un CT scan sans problème, suivez bien les instructions de votre équipe. Cela inclut les restrictions alimentaires et la prise de médicaments. Arrivez à l'avance pour les formalités.
En comprenant les aspects pratiques et en vous préparant bien, vous réduirez le stress. Vous serez prêt à obtenir les informations nécessaires pour votre soin.
Innovations Récentes dans l'Imagerie des Tumeurs Cérébrales
Les nouvelles technologies dans l'imagerie des tumeurs cérébrales offrent de grandes opportunités. Elles apportent des avancées importantes dans la tomodensitométrie (CT scan) et l'intelligence artificielle (IA).
Améliorations de la Technologie CT
La technologie CT scan a fait de grands pas en avant. Elle permet maintenant de détecter et de caractériser les tumeurs cérébrales plus précisément. Les nouveaux scanners CT ont une meilleure résolution et moins d'artefacts, ce qui aide à trouver des lésions plus petites.
● Amélioration de la résolution spatiale
● Réduction des doses de radiation
● Acquisition d'images plus rapide
Intelligence Artificielle et Détection Assistée par Ordinateur
L'intelligence artificielle change la façon dont on détecte et diagnostique les tumeurs cérébrales. Les algorithmes d'IA analysent rapidement beaucoup de données d'imagerie. Ils aident les radiologues à voir des anomalies subtiles que l'œil humain pourrait manquer.
Avantages de l'IA dans l'imagerie des tumeurs cérébrales :
Détection précoce de tumeurs
Analyse quantitative des caractéristiques tumorales
Support dans la planification du traitement
Perspectives d'Avenir
Le futur de l'imagerie des tumeurs cérébrales est plein d'espoir. Les recherches visent à utiliser la réalité augmentée et la réalité virtuelle pour la planification chirurgicale. L'amélioration des algorithmes d'IA promet une détection plus précise et des traitements plus personnalisés.
En conclusion, les innovations récentes dans l'imagerie des tumeurs cérébrales améliorent notre capacité à détecter et traiter ces maladies complexes. Nous sommes optimistes pour les progrès à venir qui amélioreront les résultats pour les patients.
Conclusion
Les CT scans sont essentiels pour détecter et diagnostiquer les tumeurs cérébrales. Nous avons exploré leur utilité et leurs limites. On a aussi parlé des autres technologies utilisées pour traiter ces tumeurs.
Un CT scan donne des infos clés aux médecins. Cela aide à planifier le traitement. Cette technologie est donc très importante dans la lutte contre les tumeurs cérébrales.
Comprendre les avantages et les limites des CT scans aide les patients. Cela les aide à mieux comprendre leur traitement. Et à prendre des décisions éclairées pour leur santé.
FAQ
Un CT scan peut-il détecter les tumeurs cérébrales ?
Oui, les CT scans peuvent détecter certaines tumeurs cérébrales. Mais, ils ne sont pas toujours précis. Les tumeurs de grande taille ou avec des caractéristiques uniques sont plus faciles à voir.
Quelle est la différence entre un CT scan et une IRM pour détecter les tumeurs cérébrales ?
Les CT scans utilisent des rayons X pour voir l'intérieur du corps. Les IRM, elles, utilisent des champs magnétiques et des ondes radio. Les IRM sont plus précises, surtout pour les petites lésions ou les tumeurs de bas grade.
Qu'est-ce qu'un produit de contraste et comment améliore-t-il la visualisation des tumeurs cérébrales ?
Le produit de contraste est une substance injectée pour améliorer les images des structures internes. Il s'accumule autour des cellules cancéreuses, aidant à mieux voir les tumeurs cérébrales.
Quels sont les risques et les effets secondaires potentiels liés à l'utilisation du produit de contraste ?
Les risques incluent des réactions allergiques et des problèmes rénaux. Il y a aussi des effets secondaires liés à l'injection.
Quand est-ce qu'un CT scan est préférable à une IRM pour détecter les tumeurs cérébrales ?
Préférer un CT scan en cas d'urgence ou si l'on a des implants métalliques. Cela est dû aux contre-indications de l'IRM.
Quels sont les types de tumeurs cérébrales difficiles à détecter par CT scan ?
Les tumeurs de bas grade et les petites lésions sont difficiles à voir. Les tumeurs dans des zones complexes sont aussi difficiles à détecter.
Comment se préparer à un CT scan cérébral ?
Retirez les objets métalliques et suivez les instructions de votre médecin. Il faut rester immobile pendant l'examen.
Quels sont les coûts et la couverture d'assurance pour un CT scan cérébral ?
Les coûts et la couverture d'assurance varient. Vérifiez avec votre assureur pour plus de détails.
Quelles questions importantes devrais-je poser à mon médecin avant un CT scan cérébral ?
Demandez des infos sur la procédure, les risques, les résultats et les options de traitement.
References
National Center for Biotechnology Information. Evidence-Based Medical Guidance. Retrieved from https://pubmed.ncbi.nlm.nih.gov/33404393/
* Le contenu de notre site web est uniquement destiné à des fins d'information. Veuillez consulter votre médecin pour obtenir un diagnostic et un traitement. Le contenu de la page ne contient pas d'informations sur les services de santé thérapeutiques de l'hôpital Liv. .