7 Симптомов Доброкачественной Опухоли Головного Мозга: Что Вам Нужно Знать
-
Что Такое Доброкачественная Опухоль Головного Мозга
-
Статистика и Эпидемиология
-
Основные Типы Доброкачественных Опухолей Головного Мозга
-
Как Развиваются Доброкачественные Опухоли Мозга
-
Симптомы Доброкачественной Опухоли Головного Мозга
-
Симптом 1: Постоянные Головные Боли
-
Симптом 2: Тошнота и Рвота
-
Симптом 3: Проблемы со Зрением
-
Симптомы 4-7: Другие Важные Признаки
-
Диагностика и Лечение
-
Заключение
-
FAQ

Доброкачественные опухоли головного мозга - это не злокачественные новообразования. Они могут сильно повлиять на здоровье человека. Хотя они не являются злокачественными, эти опухоли могут вызывать серьезные неврологические симптомы.
Важно знать симптомы доброкачественной опухоли головного мозга. Это поможет вовремя диагностировать и эффективно лечить. Мы рассмотрим семь ключевых симптомов, которые помогут вам распознать предупреждающие знаки и принять правильные решения.
Ключевые Выводы
Доброкачественные опухоли головного мозга могут вызывать значительные неврологические симптомы.
Раннее распознавание симптомов имеет решающее значение для эффективного лечения.
Понимание симптомов помогает принять обоснованные решения о здоровье.
Своевременная диагностика может улучшить качество жизни.
Знание симптомов позволяет вовремя обратиться за медицинской помощью.
Что Такое Доброкачественная Опухоль Головного Мозга

Важно понять, что такое доброкачественная опухоль головного мозга. Это поможет в диагностике и лечении. Мы рассмотрим, что это такое, сколько людей страдают от этого, и как отличить от злокачественных опухолей.
Определение и распространенность
Доброкачественная опухоль головного мозга - это не рак. Она может повлиять на здоровье человека. Эти опухоли растут медленно и имеют четкие границы.
Согласно статистике, каждый год в США диагностируют более 67 000 случаев доброкачественной опухоли головного мозга. Это показывает, насколько важно знать симптомы и методы лечения.
Отличия от злокачественных опухолей
Доброкачественные опухоли отличаются от злокачественных тем, что растут медленно. Злокачественные опухоли быстро растут и могут распространяться по телу.
Давайте сравним основные характеристики:
Характеристика | Доброкачественные опухоли | Злокачественные опухоли |
|---|---|---|
Скорость роста | Медленный рост | Быстрый рост |
Границы | Четкие границы | Нечеткие границы |
Метастазирование | Не метастазируют | Могут метастазировать |
Знание этих отличий важно для выбора лечения.
Доброкачественные опухоли головного мозга могут быть такими же опасными, как и злокачественные, если они расположены в критически важных областях мозга.
В заключение, хотя доброкачественные опухоли не являются раком, они требуют внимания и лечения из-за воздействия на здоровье.
Статистика и Эпидемиология

Статистика доброкачественных опухолей головного мозга важна для понимания этой проблемы. Мы рассмотрим, как часто они встречаются и у кого. Это поможет нам лучше понять эту тему.
Частота диагностирования в США
Доброкачественные опухоли мозга встречаются не часто, но это большая часть всех опухолей мозга. Менингиома - это самая распространенная из них, она составляет более 30 процентов всех опухолей мозга. Согласно статистике, шансы выжить на пять лет после постановки диагноза менингиомы составляют 88,2 процента.
В США каждый год много людей получают диагноз доброкачественных опухолей головного мозга. Эти опухоли чаще встречаются у взрослых. Женщины больше подвержены менингиоме, чем мужчины.
Демографические данные пациентов
Демографический анализ показывает, что доброкачественные опухоли могут возникать у людей разных возрастов. Но чаще всего они встречаются у взрослых среднего и старшего возраста.
Возраст: Большинство случаев диагностируется у людей старше 40 лет.
Пол: Некоторые типы опухолей, такие как менингиома, чаще встречаются у женщин.
Этническая принадлежность: Статистика показывает вариации в частоте диагностирования среди разных этнических групп.
Понимание этих демографических данных важно для ранней диагностики и эффективного лечения.
Основные Типы Доброкачественных Опухолей Головного Мозга
В головном мозге есть несколько типов доброкачественных опухолей. Каждый из них имеет свои особенности. Они обычно растут медленно и не содержат раковых клеток.
Менингиома
Менингиома - это опухоль, образующаяся из оболочек мозга. Она встречается часто. Менингиомы могут не показывать симптомов, но могут вызывать головные боли и другие проблемы.
Акустическая неврома
Акустическая неврома - это доброкачественная опухоль на восьмом черепном нерве. Она влияет на слух и равновесие. Симптомы включают потерю слуха и проблемы с равновесием.
Аденома гипофиза
Аденома гипофиза - это опухоль в гипофизе, маленькой железе у основания мозга. Она может нарушать выработку гормонов. Это может вызывать проблемы с зрением, головными болями и другими эндокринными нарушениями.
Вестибулярная шваннома и арахноидальные кисты
Вестибулярная шваннома - это опухоль, влияющая на вестибулярный нерв. Арахноидальные кисты - это жидкие полости между мозгом и паутинной оболочкой. Они могут вызывать неврологические симптомы в зависимости от размера и места.
Важно знать о разных типах доброкачественных опухолей мозга. Это помогает правильно диагностировать и лечить. Каждый тип требует индивидуального подхода.
Как Развиваются Доброкачественные Опухоли Мозга
Мы изучаем, как доброкачественные опухоли мозга развиваются и как они влияют на окружающие ткани. Эти опухоли не являются злокачественными и не распространяются на другие части тела.
Механизмы роста
Доброкачественные опухоли мозга растут медленно. Их рост обусловлен различными факторами. Основные механизмы роста включают:
Генетические мутации: Некоторые генетические мутации могут привести к неконтролируемому росту клеток.
Нарушение регуляции клеточного цикла: Изменения в механизмах, контролирующих деление клеток, могут способствовать росту опухоли.
Влияние внешних факторов: Хотя это и не является основной причиной, внешние факторы могут влиять на развитие опухоли.
Влияние на окружающие ткани мозга
По мере роста доброкачественной опухоли мозга, она может оказывать давление на окружающие ткани. Это приводит к различным симптомам. Влияние на ткани мозга может включать:
Сдавление нервных структур: Опухоль может сдавливать нервы, вызывая нарушения их функций.
Повышение внутричерепного давления: Рост опухоли может привести к повышению давления внутри черепа.
Нарушение циркуляции спинномозговой жидкости: Опухоль может блокировать нормальную циркуляцию спинномозговой жидкости.
Понимание этих механизмов и влияний важно для диагностики и лечения доброкачественных опухолей мозга.
Симптомы Доброкачественной Опухоли Головного Мозга
Важно знать симптомы доброкачественной опухоли головного мозга для своевременной диагностики. Мы рассмотрим основные симптомы и объясним их причину.
Размер и местоположение опухоли влияют на симптомы. Симптомы зависят от локализации опухоли. Их выраженность может отличаться.
Почему возникают симптомы
Симптомы появляются из-за давления опухоли на мозг. Опухоли рядом с зрительными нервами могут вызывать проблемы с зрением.
Встречаются головные боли, тошнота, проблемы с зрением и равновесием. Также могут наблюдаться слабость, усталость, проблемы с концентрацией и судороги. Эти симптомы зависят от размера и места опухоли.
Зависимость симптомов от локализации опухоли
Локализация опухоли определяет тип симптомов. Опухоли в гипофизе могут влиять на гормоны. А опухоли в задней части черепа могут вызывать проблемы с равновесием.
Когда обратиться к врачу
Если у вас постоянные или усиливающиеся симптомы, обратитесь к врачу. Ранняя диагностика и лечение могут улучшить вашу жизнь.
Своевременное обращение за медицинской помощью важно. Врач поможет найти лучшее лечение для вашего состояния.
Симптом 1: Постоянные Головные Боли
Головные боли от опухоли мозга могут быть постоянными и усиливаются со временем. Это один из главных симптомов у людей с доброкачественной опухолью головного мозга.
Характеристики головной боли при опухоли
Головные боли от опухоли мозга имеют свои особенности. Они часто начинаются утром и могут вызывать тошноту и рвоту. Это происходит из-за повышенного внутричерепного давления.
Основные характеристики:
Постоянство и прогрессирование
Усиление утром
Связь с положением тела
Сопутствующие симптомы (тошнота, рвота)
Отличия от других типов головной боли
Головные боли от опухоли мозга отличаются от других. Они постоянны и связаны с внутричерепным давлением. В отличие от мигрени или головной боли напряжения, они не всегда реагируют на обычные обезболивающие.
Важно отметить, что только медицинский специалист может точно диагностировать причину головных болей.
Если у вас постоянные головные боли, которые не проходят или усиливаются, обратитесь к врачу. Ранняя диагностика и лечение могут значительно улучшить вашу жизнь.
Симптом 2: Тошнота и Рвота
Тошнота и рвота часто связаны с повышением внутричерепного давления. Это может быть из-за доброкачественной опухоли головного мозга. Эти симптомы могут сильно повлиять на жизнь пациента.
Механизм возникновения
Рост опухоли может привести к повышению внутричерепного давления. Это смещает или сдавливает структуры мозга. В результате могут возникать тошнота и рвота.
Сопутствующие признаки
К тошноте и рвоте могут добавляться другие симптомы. Например, головокружение или изменения зрения. Эти признаки могут указывать на более серьезное воздействие опухоли на мозг.
Симптом | Описание |
|---|---|
Тошнота | Чувство дискомфорта в желудке, часто предшествующее рвоте |
Рвота | Непроизвольное извержение содержимого желудка |
Головокружение | Ощущение вращения или потери равновесия |
Симптом 3: Проблемы со Зрением
Доброкачественная опухоль головного мозга может вызвать проблемы с зрением. Это происходит из-за давления на зрительные нервы или пути. Важно обратиться к специалистам для проверки.
Типы нарушений зрения
Зрительные нарушения могут проявляться по-разному. К ним относятся:
Размытое зрение
Двойное зрение
Потеря периферического зрения
Трудности с различением цветов
Тип и тяжесть нарушений зависят от места и размера опухоли.
Связь с локализацией опухоли
Местоположение опухоли важно для определения зрительных проблем. Опухоли рядом с зрительными нервами или хиазмой чаще вызывают зрительные нарушения.
Локализация опухоли | Возможные зрительные нарушения |
|---|---|
Вблизи зрительных нервов | Потеря зрения, размытое зрение |
В области хиазмы | Потеря периферического зрения, двойное зрение |
В затылочной доле | Нарушения восприятия зрительной информации |
Важно понять связь между местоположением опухоли и зрительными нарушениями. Это помогает в диагностике и лечении.
Симптомы 4-7: Другие Важные Признаки
Доброкачественная опухоль головного мозга может вызывать разные симптомы. Эти симптомы могут сильно влиять на вашу жизнь и здоровье.
Проблемы с равновесием и головокружение
Головокружение и проблемы с равновесием часто связаны с опухолями мозга. Это происходит, когда опухоль давит на части мозга, отвечающие за равновесие.
Таблица 1: Влияние проблем с равновесием на повседневную жизнь
Симптом | Влияние на повседневную жизнь |
|---|---|
Головокружение | Затрудняет ходьбу и выполнение повседневных задач |
Потеря равновесия | Повышает риск падений и травм |
Слабость и утомляемость
Слабость и утомляемость часто связаны с опухолями мозга. Они могут возникать из-за опухоли или других факторов.
Нарушения концентрации и когнитивных функций
Давление опухоли на мозг может нарушать концентрацию и когнитивные функции. Это может затруднить выполнение умственных задач.
Судороги
Судороги - это серьезный симптом, который может указывать на опухоль мозга. Они требуют немедленной медицинской помощи.
Все эти симптомы подчеркивают важность своевременной диагностики и лечения опухоли мозга.
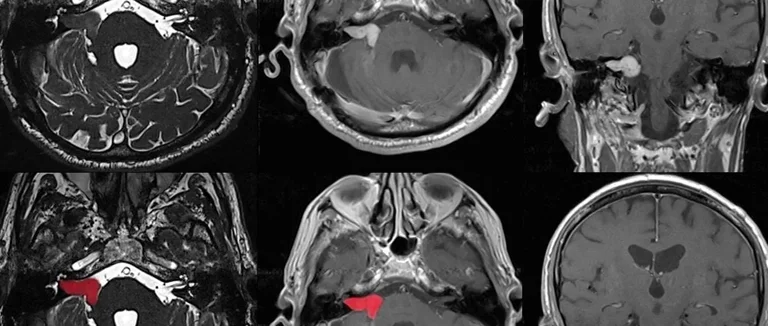
Диагностика и Лечение
Раннее выявление и лечение могут улучшить жизнь пациентов с доброкачественной опухолью мозга. Мы применяем современные методы для точной диагностики. Это помогает нам определить тип и местоположение опухоли.
Методы диагностики
Для диагностики используются МРТ (Магнитно-резонансная томография) и КТ (Компьютерная томография). Эти методы помогают нам точно узнать размер, форму и местоположение опухоли.
Могут проводиться дополнительные исследования, например, биопсия. Это помогает подтвердить диагноз и определить тип опухоли.
Современные подходы к лечению
Метод лечения зависит от размера, местоположения и типа опухоли. Также учитывается общее состояние здоровья пациента.
Хирургическое вмешательство: Удаление опухоли хирургическим путем является распространенным методом лечения.
Лучевая терапия: Используется для уничтожения оставшихся опухолевых клеток после хирургии.
Медикаментозное лечение: В некоторых случаях назначаются препараты для контроля симптомов и предотвращения роста опухоли.
Как сказал известный нейрохирург,
«Успешное лечение доброкачественной опухоли мозга требует работы нейрохирургов, радиологов и онкологов.»
Прогноз и показатели выживаемости
Прогноз для пациентов с доброкачественной опухолью мозга обычно благоприятный. Это особенно важно при своевременной и правильной диагностике и лечении.
Показатели выживаемости зависят от типа опухоли и эффективности лечения. Большинство пациентов с доброкачественной опухолью мозга имеют хорошие шансы на выздоровление или улучшение качества жизни.
Мы стремимся к индивидуальному подходу к каждому пациенту. Это помогает нам достичь наилучших результатов.
Заключение
Важно знать симптомы доброкачественной опухоли головного мозга. Это помогает вовремя обратиться за помощью. Мы рассмотрели ключевые признаки, такие как постоянные головные боли и проблемы со зрением.
Доброкачественная опухоль требует своевременного лечения. Раннее выявление и обращение к врачу улучшают результаты лечения. Это улучшает жизнь пациентов.
Не откладывайте визит к врачу при подозрительных симптомах. Современные методы диагностики и лечения эффективны. Они помогают победить доброкачественные опухоли, улучшая шансы на выживание.
FAQ
Что такое доброкачественная опухоль головного мозга?
Доброкачественная опухоль головного мозга - это рост клеток в мозге. Он может давить на окружающие ткани.
Каковы основные типы доброкачественных опухолей головного мозга?
Среди них менингиома, акустическая неврома, аденома гипофиза. Также вестибулярная шваннома и арахноидальные кисты.
Каковы симптомы доброкачественной опухоли головного мозга?
Симптомы включают постоянные головные боли и тошноту. Также проблемы со зрением и нарушения равновесия. Слабость, когнитивные проблемы и судорги возможны.
Почему возникают симптомы при доброкачественной опухоли головного мозга?
Симптомы появляются из-за давления опухоли на мозговые ткани. Они зависят от места опухоли.
Как диагностируется доброкачественная опухоль головного мозга?
Для диагностики используют МРТ и КТ-сканирование. Иногда делают биопсию.
Каковы современные подходы к лечению доброкачественных опухолей головного мозга?
Лечение включает удаление опухоли хирургическим путем. Также используют лучевую терапию и наблюдение.
Каков прогноз для пациентов с доброкачественной опухолью головного мозга?
Прогноз обычно благоприятный. Выживаемость высокая, особенно при своевременном лечении.
Могут ли доброкачественные опухоли головного мозга стать злокачественными?
Обычно нет, но в редких случаях могут измениться.
Как часто встречаются доброкачественные опухоли головного мозга?
Редки, но менингиома - самый распространенный тип.
Влияет ли локализация опухоли на симптомы и лечение?
Да, место опухоли определяет симптомы и лечение.
* Содержимое нашего сайта предназначено только для информационных целей. Обязательно обратитесь к врачу для диагностики и лечения. В содержание страницы не включены элементы, содержащие информацию о терапевтических медицинских услугах в Лив Госпитале. .