В чем разница между поражением головного мозга и опухолью головного мозга?
-
Что такое поражение головного мозга?
-
Что такое опухоль головного мозга?
-
Сравнение поражения мозга и опухоли мозга (brain lesion vs tumor)
-
Распространенные причины поражений головного мозга
-
Типы опухолей головного мозга
-
Симптомы поражений головного мозга
-
Признаки опухоли головного мозга
-
Диагностика поражений и опухолей головного мозга
-
Лечение поражений головного мозга
-
Методы лечения опухолей головного мозга
-
Прогноз и выживаемость при опухолях головного мозга
-
Заключение
-
FAQ

Поражение головного мозга - это аномалия в тканях мозга. Это может быть из-за инфекции, воспаления, инсульта, травмы или дегенеративных заболеваний. Опухоль головного мозга - это аномальный рост клеток. Он может возникнуть в мозге или метастазировать из других органов.
Важно понимать разницу между этими состояниями. Это поможет выбрать правильное лечение и предсказать прогноз.
Ключевые выводы
Поражение и опухоль головного мозга - это разные состояния, требующие разных подходов к диагностике и лечению.
Поражение может быть вызвано инфекцией, воспалением, травмой и другими факторами.
Опухоль - это аномальный рост клеток, который может возникнуть в мозге или метастазировать из других органов.
Точный диагноз важен для выбора правильного лечения.
В Liv Hospital мы применяем современные методы диагностики и индивидуальный подход к каждому пациенту.
Что такое поражение головного мозга?

Поражение головного мозга - это аномалия в мозговой ткани. Они могут возникнуть из-за травмы, инфекции или болезни. Размер и тяжесть поражений могут различаться.
Определение и типы поражений мозга
Поражения головного мозга - это разные аномалии в мозговой ткани. Они появляются из-за разных причин. В зависимости от характеристик и причин, они делятся на типы.
Существуют основные типы поражений мозга:
Травматические поражения, вызванные физической травмой головы.
Инфекционные поражения, возникающие из-за инфекций, поражающих мозг.
Дегенеративные поражения, связанные с прогрессирующими заболеваниями мозга.
Причины возникновения поражений мозга
Поражения головного мозга могут возникать по разным причинам. К основным относятся:
Травматические повреждения, такие как ушибы или проникающие ранения головы.
Инфекции, включая бактериальные, вирусные или грибковые инфекции.
Дегенеративные заболевания, такие как болезнь Альцгеймера или рассеянный склероз.
Сосудистые нарушения, включая инсульт или сосудистую деменцию.
Важно знать причины и типы поражений мозга. Это помогает правильно диагностировать и лечить.
Что такое опухоль головного мозга?

Опухоль головного мозга - это необычный рост клеток в мозге. Она может появиться в мозге или распространиться из других органов. Опухоли могут быть доброкачественными или злокачественными. Их тип зависит от клеток, из которых они образуются, и степени злокачественности.
Определение и классификация опухолей мозга
Опухоли головного мозга делятся на несколько типов. Это зависит от их гистологического типа и степени злокачественности. Система классификации ВОЗ определяет степень от I до IV. I степень - это доброкачественные опухоли, а IV - злокачественные.
Классификация важна для определения прогноза и выбора лечения. Разные типы опухолей требуют разных подходов. Точная диагностика ключ к эффективному лечению.
Первичные и метастатические опухоли
Опухоли могут быть первичными или метастатическими. Первичные опухоли появляются в мозге. Метастатические опухоли распространяются в мозг из других частей тела.
Тип опухоли | Описание | Характеристики |
|---|---|---|
Первичные опухоли | Возникают в мозге | Могут быть доброкачественными или злокачественными |
Метастатические опухоли | Распространяются из других частей тела | Обычно злокачественные |
Различия между первичными и метастатическими опухолями важны для выбора лечения.
Сравнение поражения мозга и опухоли мозга (brain lesion vs tumor)
Поражения мозга и опухоли мозга могут показывать похожие симптомы. Но их причины и развитие разные. Знание этих различий важно для точной диагностики и лечения.
Ключевые различия в происхождении
Поражения мозга могут возникать по разным причинам. Например, травмы, инфекции, воспаления и дегенеративные заболевания. А опухоли мозга - это аномальный рост клеток, который может быть доброкачественным или злокачественным.
Основные причины поражений мозга включают:
Травматические повреждения
Инфекции и воспалительные заболевания
Дегенеративные заболевания
Опухоли мозга, однако, в основном обусловлены генетическими мутациями и аномальным клеточным ростом.
Различия в прогрессировании и развитии
Поражения мозга могут быть статичными или прогрессирующими. Это зависит от причины. Опухоли мозга, особенно злокачественные, быстро растут и могут метастазировать.
Понимание этих различий помогает врачам разработать лучший план лечения. Они учитывают специфику каждого случая.
Распространенные причины поражений головного мозга
Поражения головного мозга могут быть вызваны разными причинами. Среди них инфекции, воспаления, инсульт, травмы и дегенеративные заболевания. Знание этих причин важно для разработки диагностических и терапевтических стратегий.
Инфекции и воспаления
Инфекции и воспаления часто вызывают повреждения мозга. Бактериальные, вирусные и грибковые инфекции могут привести к менингиту, энцефалиту и абсцессам мозга. Воспалительные заболевания, такие как рассеянный склероз, также могут повредить мозг.
Некоторые инфекции, например менингококковая инфекция, могут вызывать серьезные и быстро прогрессирующие повреждения мозга. Другие инфекции могут быть хроническими, как нейросифилис.
Инсульт и травмы
Инсульт и травмы также являются распространенными причинами повреждений мозга. Инсульт возникает, когда кровоток к части мозга прерывается, лишая ее кислорода и питательных веществ. Травматические повреждения мозга могут возникнуть в результате удара по голове или проникающей травмы.
Инсульт и травмы могут привести к постоянным повреждениям мозга. Они могут повлиять на когнитивные, эмоциональные и физические функции.
Дегенеративные заболевания
Дегенеративные заболевания, такие как болезнь Альцгеймера и болезнь Паркинсона, также могут повредить мозг. Эти заболевания характеризуются дегенерацией нейронов и нарушением функций мозга.
Рассеянный склероз является примером дегенеративного заболевания. Он поражает мозг и спинной мозг, вызывая неврологические симптомы.
Типы опухолей головного мозга
Важно знать о разных типах опухолей головного мозга. Это помогает выбрать лучшее лечение. Опухоли можно разделить на несколько групп. Они различаются по происхождению и злокачественности.
Доброкачественные опухоли
Доброкачественные опухоли растут медленно. Они не распространяются на другие части мозга или тела. Но могут давить на окружающие ткани.
Примеры доброкачественных опухолей включают:
Менингиомы
Шванномы
Аденомы гипофиза
Злокачественные опухоли
Злокачественные опухоли агрессивны и быстро растут. Они могут проникать в другие ткани. Это создает большую угрозу для здоровья и требует срочного лечения.
Примеры злокачественных опухолей включают:
Глиобластома
Анапластические астроцитомы
Медуллобластомы
Давайте узнаем больше о характеристиках и прогнозах для разных типов опухолей головного мозга.
Тип опухоли | Характеристики | Прогноз |
|---|---|---|
Менингиома | Обычно доброкачественная, медленно растущая | Хороший после хирургического удаления |
Глиобластома | Злокачественная, быстро растущая | Сдержанный, зависит от лечения |
Шваннома | Доброкачественная, возникает из шванновских клеток | Хороший после хирургического удаления |
Знание этих различий важно для выбора подходящего лечения.
Симптомы поражений головного мозга
Поражения головного мозга могут проявляться разными симптомами. Это зависит от места, размера и типа поражения. Ранняя диагностика и эффективное лечение очень важны.
Общие симптомы
Общие симптомы включают головные боли, судороги, проблемы с памятью и двигательной функцией. Эти признаки могут быть вызваны опухолями, кистами и воспалением.
Головные боли часто являются первым признаком проблем с мозгом. Они могут возникать из-за повышения давления или воздействия на ткани.
Симптомы в зависимости от локализации поражения
Симптомы могут отличаться в зависимости от места поражения. Например, проблемы в лобной доле могут изменить вашу личность и речь.
Локализация поражения | Возможные симптомы |
|---|---|
Лобная доля | Изменения личности, нарушения двигательной функции, проблемы с речью |
Височная доля | Нарушения памяти, слуховые галлюцинации, изменения настроения |
Теменная доля | Нарушения чувствительности, трудности с пространственной ориентацией |
Важно понимать связь между местом поражения и симптомами. Это помогает точно диагностировать и лечить.
Признаки опухоли головного мозга
Важно знать признаки опухоли головного мозга для ранней диагностики. Опухоли мозга могут вызывать разные симптомы. Это зависит от типа, места и степени злокачественности.
Ранние симптомы опухоли мозга
Ранние признаки могут быть неспецифичными. К ним относятся головные боли, тошнота, рвота и проблемы с памятью. Эти симптомы могут появляться из-за повышения давления в голове или воздействия опухоли на ткани.
Головные боли, усиливающиеся утром или при изменении положения тела
Тошнота и рвота, не связанные с другими заболеваниями
Изменения настроения, такие как депрессия или тревога
Нарушения памяти и концентрации внимания
Продвинутые симптомы опухоли мозга
С ростом опухоли появляются более специфические симптомы. К ним относятся судорги, проблемы с зрением, равновесием и координацией.
Судорги, которые могут быть первым признаком опухоли у некоторых пациентов
Нарушения зрения, включая двоение в глазах или потерю периферического зрения
Трудности с ходьбой и поддержанием равновесия
Слабость или онемение в конечностях
Особенности симптомов у женщин и мужчин
Хотя основные симптомы одинаковы, есть различия в проявлении. У женщин чаще встречаются головные боли и проблемы с зрением. У мужчин больше когнитивных нарушений и изменений личности.
Диагностика поражений и опухолей головного мозга
Диагностика поражений и опухолей головного мозга - это ключевой этап в лечении. Врачам важно точно определить природу и характеристики проблемы. Это помогает выбрать правильный метод лечения.
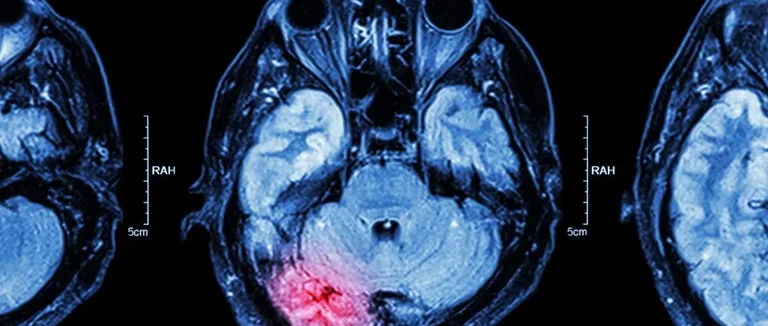
Методы визуализации (МРТ, КТ)
Современные методы визуализации, такие как Магнитно-резонансная томография (МРТ) и Компьютерная томография (КТ), важны для диагностики. МРТ показывает детали мягких тканей мозга, помогая выявить опухоли. КТ лучше всего показывает кровоизлияния, кальцификации и изменения в костях.
Биопсия и другие диагностические процедуры
Иногда для точной диагностики требуется биопсия. В этом случае берется образец ткани для анализа. Другие методы включают люмбальную пункцию, электроэнцефалографию (ЭЭГ) и лабораторные тесты.
Дифференциальная диагностика
Дифференциальная диагностика помогает определить причину заболевания. Она включает анализ симптомов и результатов тестов. Это помогает поставить точный диагноз.
Диагностический метод | Описание | Применение |
|---|---|---|
МРТ | Магнитно-резонансная томография | Детальное изображение мягких тканей мозга |
КТ | Компьютерная томография | Обнаружение кровоизлияний, кальцификаций и костных изменений |
Биопсия | Гистологическое исследование образца ткани | Точная диагностика типа опухоли или поражения |
Лечение поражений головного мозга
Лечение поражений головного мозга требует комплексного подхода. Учитывается причина и характеристики поражения. Мы рассматриваем разные методы лечения. Они направлены на устранение симптомов и улучшение качества жизни пациентов.
Медикаментозная терапия
Медикаментозная терапия - это основной метод лечения. Она помогает уменьшить симптомы и предотвратить дальнейшее повреждение мозговой ткани.
Противовоспалительные препараты: снижают воспаление и отек.
Противосудорожные препараты: контролируют судороги.
Кортикостероиды: уменьшают отек и воспаление.
Медикаменты подбираются индивидуально. Это зависит от типа и тяжести поражения.
Реабилитационные мероприятия
Реабилитация важна для восстановления функций после поражения. Она помогает пациентам вернуться к нормальной жизни.
Физиотерапия: восстанавливает двигательные функции.
Эрготерапия: восстанавливает навыки повседневной жизни.
Логопедия: улучшает речевые функции.
Реабилитация должна начинаться как можно раньше. Она проводится под наблюдением специалистов.
Методы лечения опухолей головного мозга
Для лечения опухолей головного мозга применяют разные методы. Включают в себя хирургию, лучевую терапию, химиотерапию и таргетную терапию.
Хирургическое вмешательство
Хирургия - основной способ лечения опухолей головного мозга. Цель - удалить как можно больше опухоли, не повредив здоровые ткани.
Преимущества: помогает удалить большую часть опухоли, что улучшает симптомы и повышает эффективность лечения.
Риски: зависят от места и размера опухоли, а также состояния здоровья пациента.
Лучевая терапия
Лучевая терапия уничтожает раковые клетки высокоэнергетическими лучами. Используется после операции для уничтожения оставшихся раковых клеток.
Виды лучевой терапии: внешняя и внутренняя лучевая терапия (брахитерапия).
Побочные эффекты: могут включать усталость, выпадение волос и отек мозга.
Химиотерапия и таргетная терапия
Химиотерапия уничтожает раковые клетки с помощью лекарств. Таргетная терапия направлена на конкретные молекулы, участвующие в росте опухоли.
Химиотерапия: может применяться в сочетании с другими методами лечения.
Таргетная терапия: предлагает целенаправленный подход, снижая вред для здоровых клеток.
Прогноз и выживаемость при опухолях головного мозга
Понимание прогноза и выживаемости при опухолях головного мозга важно для всех. Оно помогает врачам и пациентам планировать лечение. Разные факторы влияют на прогноз, о которых мы поговорим дальше.
Факторы, влияющие на прогноз
Прогноз зависит от нескольких ключевых факторов. К ним относятся:
Тип опухоли: Разные типы опухолей имеют разные прогнозы.
Степень злокачественности: Более высокая степень злокачественности обычно связана с худшим прогнозом.
Локализация опухоли: Опухоли, расположенные в определенных областях мозга, могут быть более трудными для лечения.
Возраст пациента: Возраст пациента на момент диагностики может влиять на прогноз.
Общее состояние здоровья: Пациенты с хорошим общим состоянием здоровья обычно имеют лучший прогноз.
Статистика выживаемости по типам опухолей
Статистика выживаемости зависит от типа опухоли и других факторов. Например:
Глиобластома: Это одна из наиболее агрессивных форм опухоли головного мозга, с медианой выживаемости около 15 месяцев после диагностики.
Менингиома: Обычно является доброкачественной опухолью с высоким уровнем выживаемости, особенно если она полностью удалена хирургически.
Медуллобластома: Чаще встречается у детей и имеет относительно хороший прогноз при надлежащем лечении.
Важно помнить, что статистика выживаемости - это только обобщение. Индивидуальный прогноз может отличаться. Каждый случай уникален, и результаты могут разниться.
Заключение
Важно знать разницу между поражением мозга и опухолью. Это помогает точно диагностировать и лечить. Мы рассмотрели разные аспекты, чтобы вы могли понять все лучше.
Различие между brain lesion и tumor важно для лечения. Поражения мозга могут быть разными, но опухоли требуют особого подхода.
Вопрос "do brain tumors kill you" подчеркивает важность своевременного лечения. Надеемся, что эта информация поможет вам лучше понимать проблемы с мозгом и принимать правильные решения для вашего здоровья.
FAQ
В чем разница между поражением головного мозга и опухолью головного мозга?
Поражение головного мозга - это изменение в его тканях. Это может быть из-за травмы, инфекции или болезни. Опухоль - это особый тип поражения, когда клетки растут без контроля.
Какие основные причины поражений головного мозга?
Поражения могут быть вызваны инфекциями, инсультом, травмами и дегенеративными заболеваниями.
Какие типы опухолей головного мозга существуют?
Есть доброкачественные и злокачественные опухоли. Первичные опухоли начинаются в мозге. Метастатические опухоли распространяются из других частей тела.
Как диагностируются поражения и опухоли головного мозга?
Для диагностики используются МРТ, КТ, биопсия и другие методы. Также проводится дифференциальная диагностика.
Какие симптомы характерны для поражений головного мозга?
Симптомы зависят от места, размера и типа поражения. Они могут включать головные боли и специфические неврологические дефициты.
Какие методы лечения доступны для поражений головного мозга?
Лечение включает медикаменты и реабилитацию. Цель - управлять симптомами и улучшать жизнь.
Какие подходы используются для лечения опухолей головного мозга?
Лечение включает хирургию, лучевую терапию, химиотерапию и таргетную терапию. Все зависит от типа опухоли.
Какие факторы влияют на прогноз при опухолях головного мозга?
Прогноз зависит от типа опухоли, степени злокачественности, места и других факторов.
Каковы шансы выживаемости при разных типах опухолей головного мозга?
Шансы на выживание разные для разных типов опухолей. Врач может дать индивидуальные прогнозы.
Могут ли опухоли головного мозга быть смертельными?
Да, злокачественные опухоли могут быть смертельными. Но ранняя диагностика и лечение могут улучшить шансы на выживание.
Разница между поражением и опухолью головного мозга важна для правильного диагноза и лечения. В Liv Hospital мы применяем индивидуальный подход к каждому. Мы используем современные методы визуализации и консультации специалистов.
* Содержимое нашего сайта предназначено только для информационных целей. Обязательно обратитесь к врачу для диагностики и лечения. В содержание страницы не включены элементы, содержащие информацию о терапевтических медицинских услугах в Лив Госпитале. .